GLP antibody

Cat. No. GTX66528
Cat. No.  GTX66528
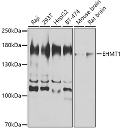
Anti-GLP antibody used in Western Blot (WB). GTX66528
GTX66528 WB Image

WB analysis of various sample lysates using GTX66528 GLP antibody.
Dilution : 1:1000
Loading : 25μg per lane

1 / 1
Anti-GLP antibody used in Western Blot (WB). GTX66528
  • Host
    Rabbit
  • Clonality
    Polyclonal
  • Isotype
    IgG
  • Applications
    WB
  • Reactivity
    Human, Mouse, Rat
See all GLP products