GLS2 antibody, Internal

Cat. No. GTX46870
Cat. No.  GTX46870
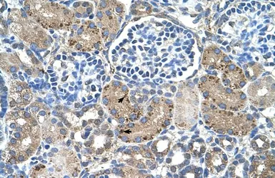
Anti-GLS2 antibody, Internal used in IHC (Paraffin sections) (IHC-P). GTX46870
GTX46870 IHC-P Image

IHC-P analysis of human kidney tissue using GTX46870 GLS2 antibody at 4.0-8.0μg/ml.

1 / 3
Anti-GLS2 antibody, Internal used in Western Blot (WB). GTX46870
GTX46870 WB Image

WB analysis of HepG2 cells using GTX46870 GLS2 antibody at 2.5μg/ml.

2 / 3
Anti-GLS2 antibody, Internal used in Western Blot (WB). GTX46870
GTX46870 WB Image

WB analysis of NCI-H226 cells using GTX46870 GLS2 antibody at 1μg/ml.

3 / 3
Anti-GLS2 antibody, Internal used in IHC (Paraffin sections) (IHC-P). GTX46870
Anti-GLS2 antibody, Internal used in Western Blot (WB). GTX46870
Anti-GLS2 antibody, Internal used in Western Blot (WB). GTX46870
  • Host
    Rabbit
  • Clonality
    Polyclonal
  • Isotype
    IgG
  • Applications
    WB IHC-P
  • Reactivity
    Human
See all GLS2 products