GNB1L antibody, C-term

Cat. No. GTX47168
Cat. No.  GTX47168
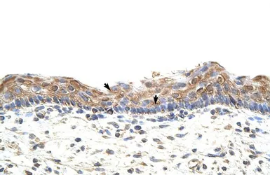
Anti-GNB1L antibody, C-term used in IHC (Paraffin sections) (IHC-P). GTX47168
GTX47168 IHC-P Image

IHC-P analysis of human skin tissue using GTX47168 GNB1L antibody at 4-8μg/ml.

1 / 3
Anti-GNB1L antibody, C-term used in Western Blot (WB). GTX47168
GTX47168 WB Image

WB analysis of Jurkat cells using GTX47168 GNB1L antibody at 2.5μg/ml.
Lane A : marker
Lane B : Jurkat cells

2 / 3
Anti-GNB1L antibody, C-term used in Western Blot (WB). GTX47168
GTX47168 WB Image

WB analysis of Jurkat cells using GTX47168 GNB1L antibody at 2.5μg/ml.
Lane A : Primary antibody
Lane B : Primary antibody + Blocking peptide

3 / 3
Anti-GNB1L antibody, C-term used in IHC (Paraffin sections) (IHC-P). GTX47168
Anti-GNB1L antibody, C-term used in Western Blot (WB). GTX47168
Anti-GNB1L antibody, C-term used in Western Blot (WB). GTX47168
  • Host
    Rabbit
  • Clonality
    Polyclonal
  • Isotype
    IgG
  • Applications
    WB IHC-P
  • Reactivity
    Human
See all GNB1L products