GOT2 antibody

Cat. No. GTX101929
Cat. No.  GTX101929
Anti-GOT2 antibody used in Western Blot (WB). GTX101929
GTX101929 WB Image

Non-transfected (–) and transfected (+) 293T whole cell extracts (30 μg) were separated by 10% SDS-PAGE, and the membrane was blotted with GOT2 antibody (GTX101929) diluted at 1:1000. The HRP-conjugated anti-rabbit IgG antibody (GTX213110-01) was used to detect the primary antibody.

1 / 9
Anti-GOT2 antibody used in Immunocytochemistry/ Immunofluorescence (ICC/IF). GTX101929
GTX101929 ICC/IF Image

Immunofluorescence analysis of methanol-fixed HeLa, using GOT2(GTX101929) antibody at 1:500 dilution.

2 / 9
Anti-GOT2 antibody used in Western Blot (WB). GTX101929
GTX101929 WB Image

GOT2 antibody detects GOT2 protein by western blot analysis.
A. 50 μg rat lung lysate/extract
10% SDS-PAGE
GOT2 antibody (GTX101929) dilution: 1:1000
The HRP-conjugated anti-rabbit IgG antibody (GTX213110-01) was used to detect the primary antibody.

3 / 9
Anti-GOT2 antibody used in Western Blot (WB). GTX101929
GTX101929 WB Image

Sample (30 μg of whole cell lysate)
A: HepG2
10% SDS PAGE
GTX101929 diluted at 1:1000
The HRP-conjugated anti-rabbit IgG antibody (GTX213110-01) was used to detect the primary antibody.

4 / 9
Anti-GOT2 antibody used in IHC (Paraffin sections) (IHC-P). GTX101929
GTX101929 IHC-P Image

GOT2 antibody detects GOT2 protein at cytoplasm in mouse brain by immunohistochemical analysis.
Sample: Paraffin-embedded mouse brain.
GOT2 antibody (GTX101929) diluted at 1:500.

Antigen Retrieval: Citrate buffer, pH 6.0, 15 min

5 / 9
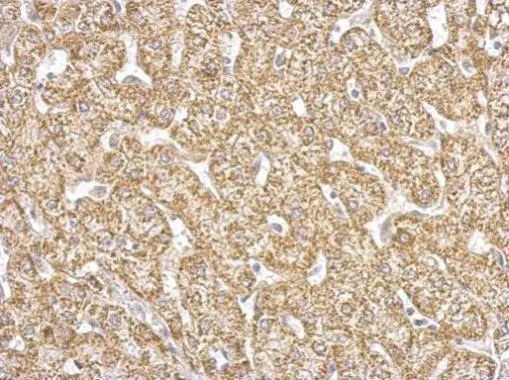
Anti-GOT2 antibody used in IHC (Paraffin sections) (IHC-P). GTX101929
GTX101929 IHC-P Image

GOT2 antibody detects GOT2 protein at cytosol on human hepatoma by immunohistochemical analysis.
Sample: Paraffin-embedded hepatoma tissue.
GOT2 antibody (GTX101929) dilution: 1:500.

Antigen Retrieval: Trilogy™ (EDTA based, pH 8.0) buffer, 15min

6 / 9
Anti-GOT2 antibody used in IHC (Paraffin sections) (IHC-P). GTX101929
GTX101929 IHC-P Image

GOT2 antibody detects GOT2 protein at cytoplasm in mouse liver by immunohistochemical analysis.
Sample: Paraffin-embedded mouse liver.
GOT2 antibody (GTX101929) diluted at 1:500.

Antigen Retrieval: Citrate buffer, pH 6.0, 15 min

7 / 9
Anti-GOT2 antibody used in IHC (Paraffin sections) (IHC-P). GTX101929
GTX101929 IHC-P Image

Immunohistochemical analysis of paraffin-embedded RT2 xenograft, using GOT2(GTX101929) antibody at 1:500 dilution.
Antigen Retrieval: Trilogy™ (EDTA based, pH 8.0) buffer, 15min

8 / 9
Anti-GOT2 antibody used in Western Blot (WB). GTX101929
GTX101929 WB Image

GOT2 antibody detects GOT2 protein by western blot analysis.
A. 30 μg Neuro2A whole cell lysate/extract
10% SDS-PAGE
GOT2 antibody (GTX101929) dilution: 1:1000
The HRP-conjugated anti-rabbit IgG antibody (GTX213110-01) was used to detect the primary antibody.

9 / 9
Anti-GOT2 antibody used in Western Blot (WB). GTX101929
Anti-GOT2 antibody used in Immunocytochemistry/ Immunofluorescence (ICC/IF). GTX101929
Anti-GOT2 antibody used in Western Blot (WB). GTX101929
Anti-GOT2 antibody used in Western Blot (WB). GTX101929
Anti-GOT2 antibody used in IHC (Paraffin sections) (IHC-P). GTX101929
Anti-GOT2 antibody used in IHC (Paraffin sections) (IHC-P). GTX101929
Anti-GOT2 antibody used in IHC (Paraffin sections) (IHC-P). GTX101929
Anti-GOT2 antibody used in IHC (Paraffin sections) (IHC-P). GTX101929
Anti-GOT2 antibody used in Western Blot (WB). GTX101929
  • Host
    Rabbit
  • Clonality
    Polyclonal
  • Isotype
    IgG
  • Applications
    WB ICC/IF IHC-P
  • Reactivity
    Human, Mouse, Rat
See all GOT2 products