GOT2 antibody

Cat. No. GTX55645
Cat. No.  GTX55645
Anti-GOT2 antibody used in Western Blot (WB). GTX55645
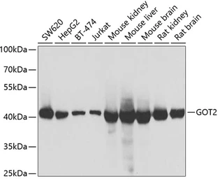
GTX55645 WB Image

WB analysis of various sample lysates using GTX55645 GOT2 antibody.
Dilution : 1:1000
Loading : 25μg per lane

1 / 2
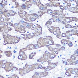
Anti-GOT2 antibody used in IHC (Paraffin sections) (IHC-P). GTX55645
GTX55645 IHC-P Image

IHC-P analysis of human liver tissue using GTX55645 GOT2 antibody.
Dilution : 1:100

2 / 2
Anti-GOT2 antibody used in Western Blot (WB). GTX55645
Anti-GOT2 antibody used in IHC (Paraffin sections) (IHC-P). GTX55645
  • Host
    Rabbit
  • Clonality
    Polyclonal
  • Isotype
    IgG
  • Applications
    WB IHC-P
  • Reactivity
    Human, Mouse, Rat
See all GOT2 products