GPM6A antibody

Cat. No. GTX134741
Cat. No.  GTX134741
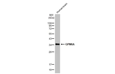
Anti-GPM6A antibody used in Western Blot (WB). GTX134741
GTX134741 WB Image

Human tissue extract (5 μg) was separated by 12% SDS-PAGE, and the membrane was blotted with GPM6A antibody (GTX134741) diluted at 1:5000. The HRP-conjugated anti-rabbit IgG antibody (GTX213110-01) was used to detect the primary antibody.

1 / 5
Anti-GPM6A antibody used in Western Blot (WB). GTX134741
GTX134741 WB Image

Various tissue extracts (30 μg) were separated by 12% SDS-PAGE, and the membrane was blotted with GPM6A antibody (GTX134741) diluted at 1:10000. The HRP-conjugated anti-rabbit IgG antibody (GTX213110-01) was used to detect the primary antibody.

2 / 5
Anti-GPM6A antibody used in Western Blot (WB). GTX134741
GTX134741 WB Image

Various whole cell extracts (30 μg) were separated by 12% SDS-PAGE, and the membrane was blotted with GPM6A antibody (GTX134741) diluted at 1:1000. The HRP-conjugated anti-rabbit IgG antibody (GTX213110-01) was used to detect the primary antibody, and the signal was developed with Trident ECL plus-Enhanced.

3 / 5
Anti-GPM6A antibody used in Western Blot (WB). GTX134741
GTX134741 WB Image

Mouse tissue extract (50 μg) were separated by 12% SDS-PAGE, and the membrane was blotted with GPM6A antibody (GTX134741) diluted at 1:2000. The HRP-conjugated anti-rabbit IgG antibody (GTX213110-01) was used to detect the primary antibody.

4 / 5
Anti-GPM6A antibody used in IHC (Paraffin sections) (IHC-P). GTX134741
GTX134741 IHC-P Image

GPM6A antibody detects GPM6A protein at cell membrane and cytoplasm by immunohistochemical analysis.
Sample: Paraffin-embedded mouse eye.
Green: GPM6A stained by GPM6A antibody (GTX134741) diluted at 1:250.
Red: beta Tubulin 3/ Tuj1, a cytoskeleton marker, stained by beta Tubulin 3/ Tuj1 antibody [GT11710] (GTX631836) diluted at 1:500.
Blue: Fluoroshield with DAPI (GTX30920).
Antigen Retrieval: Citrate buffer, pH 6.0, 15 min

5 / 5
Anti-GPM6A antibody used in Western Blot (WB). GTX134741
Anti-GPM6A antibody used in Western Blot (WB). GTX134741
Anti-GPM6A antibody used in Western Blot (WB). GTX134741
Anti-GPM6A antibody used in Western Blot (WB). GTX134741
Anti-GPM6A antibody used in IHC (Paraffin sections) (IHC-P). GTX134741
  • Host
    Rabbit
  • Clonality
    Polyclonal
  • Isotype
    IgG
  • Applications
    WB IHC-P
  • Reactivity
    Human, Mouse, Rat
See all GPM6A products