GPR125 antibody [HL4659]

Cat. No. GTX644532
Cat. No.  GTX644532
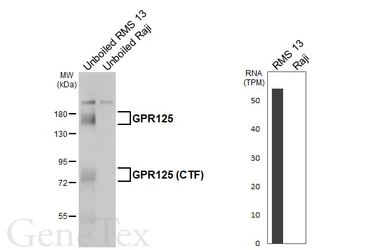
Anti-GPR125 antibody [HL4659] used in Western Blot (WB). GTX644532
GTX644532 WB Image

Unboiled various whole cell extracts (30 μg) were separated by 7.5% SDS-PAGE, and the membrane was blotted with GPR125 antibody [HL4659] (GTX644532) diluted at 1:1000. The HRP-conjugated anti-rabbit IgG antibody (GTX213110-01) was used to detect the primary antibody, and the signal was developed with Trident femto Western HRP Substrate. Corresponding RNA expression data are based on Human Protein Atlas program.

1 / 3
Anti-GPR125 antibody [HL4659] used in Western Blot (WB). GTX644532
GTX644532 WB Image

Non-transfected (–) and transfected (+) unboiled 293T whole cell extracts (30 μg) were separated by 7.5% SDS-PAGE, and the membrane was blotted with GPR125 antibody [HL4659] (GTX644532) diluted at 1:5000. The HRP-conjugated anti-rabbit IgG antibody (GTX213110-01) was used to detect the primary antibody.

2 / 3
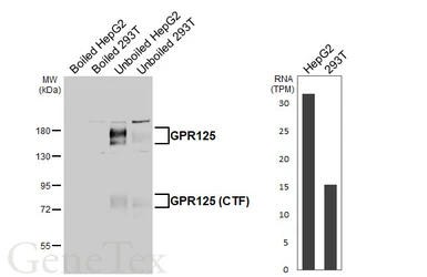
Anti-GPR125 antibody [HL4659] used in Western Blot (WB). GTX644532
GTX644532 WB Image

Boiled and unboiled various whole cell extracts (30 μg) were separated by 7.5% SDS-PAGE, and the membrane was blotted with GPR125 antibody [HL4659] (GTX644532) diluted at 1:1000. The HRP-conjugated anti-rabbit IgG antibody (GTX213110-01) was used to detect the primary antibody, and the signal was developed with Trident femto Western HRP Substrate. Corresponding RNA expression data are based on Human Protein Atlas program.

3 / 3
Anti-GPR125 antibody [HL4659] used in Western Blot (WB). GTX644532
Anti-GPR125 antibody [HL4659] used in Western Blot (WB). GTX644532
Anti-GPR125 antibody [HL4659] used in Western Blot (WB). GTX644532
  • Host
    Rabbit
  • Clonality
    Monoclonal
  • Clone Name
    HL4659
  • Isotype
    IgG
  • Applications
    WB
  • Reactivity
    Human
See all GPR125 products