GPX8 antibody

Cat. No. GTX125992
Cat. No.  GTX125992
Anti-GPX8 antibody used in Western Blot (WB). GTX125992
GTX125992 WB Image

Various whole cell extracts (30 μg) were separated by 12% SDS-PAGE, and the membrane was blotted with GPX8 antibody (GTX125992) diluted at 1:1000. The HRP-conjugated anti-rabbit IgG antibody (GTX213110-01) was used to detect the primary antibody. Corresponding RNA expression data for the same cell lines are based on Human Protein Atlas program.

1 / 7
Anti-GPX8 antibody used in Western Blot (WB). GTX125992
GTX125992 WB Image

Various tissue extracts (50 μg) were separated by 12% SDS-PAGE, and the membrane was blotted with GPX8 antibody (GTX125992) diluted at 1:1000. The HRP-conjugated anti-rabbit IgG antibody (GTX213110-01) was used to detect the primary antibody.

2 / 7
Anti-GPX8 antibody used in IHC (Paraffin sections) (IHC-P). GTX125992
GTX125992 IHC-P Image

GPX8 antibody detects GPX8 protein at cell membrane by immunohistochemical analysis.
Sample: Paraffin-embedded human breast carcinoma.
GPX8 stained by GPX8 antibody (GTX125992) diluted at 1:500.
Antigen Retrieval: Citrate buffer, pH 6.0, 15 min

3 / 7
Anti-GPX8 antibody used in Western Blot (WB). GTX125992
GTX125992 WB Image

Rat tissue extract (50 μg) was separated by 12% SDS-PAGE, and the membrane was blotted with GPX8 antibody (GTX125992) diluted at 1:1000. The HRP-conjugated anti-rabbit IgG antibody (GTX213110-01) was used to detect the primary antibody.

4 / 7
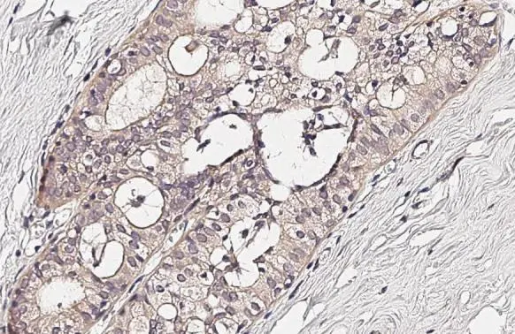
Anti-GPX8 antibody used in IHC (Paraffin sections) (IHC-P). GTX125992
GTX125992 IHC-P Image

GPX8 antibody detects GPX8 protein at cytosol on U87 xenograft by immunohistochemical analysis.
Sample: Paraffin-embedded U87 xenograft.
GPX8 antibody (GTX125992) dilution: 1:500.


Antigen Retrieval: Trilogy™ (EDTA based, pH 8.0) buffer, 15min

5 / 7
Anti-GPX8 antibody used in Western Blot (WB). GTX125992
GTX125992 WB Image

Whole cell extract (30 μg) was separated by 12% SDS-PAGE, and the membrane was blotted with GPX8 antibody (GTX125992) diluted at 1:1000. The HRP-conjugated anti-rabbit IgG antibody (GTX213110-01) was used to detect the primary antibody.

6 / 7
Anti-GPX8 antibody used in Western Blot (WB). GTX125992
GTX125992 WB Image

The data was published in the journal Aging Cell in 2018. PMID: 29659168

7 / 7
Anti-GPX8 antibody used in Western Blot (WB). GTX125992
Anti-GPX8 antibody used in Western Blot (WB). GTX125992
Anti-GPX8 antibody used in IHC (Paraffin sections) (IHC-P). GTX125992
Anti-GPX8 antibody used in Western Blot (WB). GTX125992
Anti-GPX8 antibody used in IHC (Paraffin sections) (IHC-P). GTX125992
Anti-GPX8 antibody used in Western Blot (WB). GTX125992
Anti-GPX8 antibody used in Western Blot (WB). GTX125992
  • Host
    Rabbit
  • Clonality
    Polyclonal
  • Isotype
    IgG
  • Applications
    WB IHC-P
  • Reactivity
    Human, Mouse, Rat
See all GPX8 products