GRHPR antibody [4B6]

Cat. No. GTX84415
Cat. No.  GTX84415
Anti-GRHPR antibody [4B6] used in Western Blot (WB). GTX84415
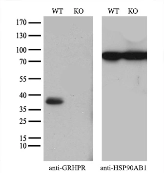
GTX84415 WB Image

WB analysis of wild type and GRHPR knock out 293T cell lysate(10μg per lane) using GTX84415 GRHPR antibody [4B6].
Dilution : 1:200

1 / 5
Anti-GRHPR antibody [4B6] used in IHC (Paraffin sections) (IHC-P). GTX84415
GTX84415 IHC-P Image

IHC-P analysis of human liver tissue using GTX84415 GRHPR antibody [4B6].
Dilution : 1:150

2 / 5
Anti-GRHPR antibody [4B6] used in Western Blot (WB). GTX84415
GTX84415 WB Image

WB analysis of HEK293T cells transfected with GRHPR plasmid (Right) or empty vector (Left) for 48 hrs using GTX84415 GRHPR antibody [4B6].
Loading : 5 ug per lane

3 / 5
Anti-GRHPR antibody [4B6] used in Flow cytometry (FCM). GTX84415
GTX84415 FCM Image

FACS analysis of HeLa cells using GTX84415 GRHPR antibody [4B6].
Red : Primary antibody
Blue : Negative control antibody

4 / 5
Anti-GRHPR antibody [4B6] used in Flow cytometry (FCM). GTX84415
GTX84415 FCM Image

FACS analysis of HEK293T cells transfected with either GRHPR plasmid(Red) or empty vector control plasmid(Blue) using GTX84415 GRHPR antibody [4B6].

5 / 5
Anti-GRHPR antibody [4B6] used in Western Blot (WB). GTX84415
Anti-GRHPR antibody [4B6] used in IHC (Paraffin sections) (IHC-P). GTX84415
Anti-GRHPR antibody [4B6] used in Western Blot (WB). GTX84415
Anti-GRHPR antibody [4B6] used in Flow cytometry (FCM). GTX84415
Anti-GRHPR antibody [4B6] used in Flow cytometry (FCM). GTX84415
  • Host
    Mouse
  • Clonality
    Monoclonal
  • Clone Name
    4B6
  • Isotype
    IgG2a
  • Applications
    WB IHC-P FCM
  • Reactivity
    Human
See all GRHPR products