GRK2 antibody [HL1562]

Cat. No. GTX637038
Cat. No.  GTX637038
Anti-GRK2 antibody [HL1562] used in Western Blot (WB). GTX637038
GTX637038 WB Image

Wild-type (WT) and GRK2 knockout (KO) 293T cell extracts (30 μg) were separated by 7.5% SDS-PAGE, and the membrane was blotted with GRK2 antibody [HL1562] (GTX637038) diluted at 1:2000. The HRP-conjugated anti-rabbit IgG antibody (GTX213110-01) was used to detect the primary antibody.

1 / 7
Anti-GRK2 antibody [HL1562] used in Immunocytochemistry/ Immunofluorescence (ICC/IF). GTX637038
GTX637038 ICC/IF Image

GRK2 antibody [HL1562] detects GRK2 protein by immunofluorescent analysis.
Sample: HeLa cells were fixed in ice-cold MeOH for 10 min.
Green: GRK2 stained by GRK2 antibody [HL1562] (GTX637038) diluted at 1:500.
Red: alpha Tubulin, a cytoskeleton marker, stained by alpha Tubulin antibody [GT114] (GTX628802) diluted at 1:1000.
Blue: Fluoroshield with DAPI (GTX30920).
Scale bar= 10μm.

2 / 7
Anti-GRK2 antibody [HL1562] used in IHC (Paraffin sections) (IHC-P). GTX637038
GTX637038 IHC-P Image

GRK2 antibody [HL1562] detects GRK2 protein by immunohistochemical analysis.
Sample: Paraffin-embedded rat tissues.
GRK2 stained by GRK2 antibody [HL1562] (GTX637038) diluted at 1:100.
Antigen Retrieval: Citrate buffer, pH 6.0, 15 min

3 / 7
Anti-GRK2 antibody [HL1562] used in Western Blot (WB). GTX637038
GTX637038 WB Image

Various tissue extracts (50 μg) were separated by 7.5% SDS-PAGE, and the membrane was blotted with GRK2 antibody [HL1562] (GTX637038) diluted at 1:2000. The HRP-conjugated anti-rabbit IgG antibody (GTX213110-01) was used to detect the primary antibody.

4 / 7
Anti-GRK2 antibody [HL1562] used in Western Blot (WB). GTX637038
GTX637038 WB Image

Non-transfected (–) and transfected (+) 293T whole cell extracts (30 μg) were separated by 7.5% SDS-PAGE, and the membrane was blotted with GRK2 antibody [HL1562] (GTX637038) diluted at 1:10000. The HRP-conjugated anti-rabbit IgG antibody (GTX213110-01) was used to detect the primary antibody.

5 / 7
Anti-GRK2 antibody [HL1562] used in Western Blot (WB). GTX637038
GTX637038 WB Image

Various whole cell extracts (30 μg) were separated by 7.5% SDS-PAGE, and the membrane was blotted with GRK2 antibody [HL1562] (GTX637038) diluted at 1:2000. The HRP-conjugated anti-rabbit IgG antibody (GTX213110-01) was used to detect the primary antibody.

6 / 7
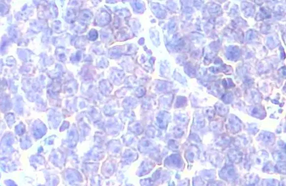
Anti-GRK2 antibody [HL1562] used in IHC (Paraffin sections) (IHC-P). GTX637038
GTX637038 IHC-P Image

GRK2 antibody [HL1562] detects GRK2 protein at cell membrane by immunohistochemical analysis.
Sample: Paraffin-embedded mouse lymph node.
GRK2 stained by GRK2 antibody [HL1562] (GTX637038) diluted at 1:100.
Antigen Retrieval: Citrate buffer, pH 6.0, 15 min

7 / 7
Anti-GRK2 antibody [HL1562] used in Western Blot (WB). GTX637038
Anti-GRK2 antibody [HL1562] used in Immunocytochemistry/ Immunofluorescence (ICC/IF). GTX637038
Anti-GRK2 antibody [HL1562] used in IHC (Paraffin sections) (IHC-P). GTX637038
Anti-GRK2 antibody [HL1562] used in Western Blot (WB). GTX637038
Anti-GRK2 antibody [HL1562] used in Western Blot (WB). GTX637038
Anti-GRK2 antibody [HL1562] used in Western Blot (WB). GTX637038
Anti-GRK2 antibody [HL1562] used in IHC (Paraffin sections) (IHC-P). GTX637038
  • Host
    Rabbit
  • Clonality
    Monoclonal
  • Clone Name
    HL1562
  • Isotype
    IgG
  • Applications
    WB ICC/IF IHC-P
  • Reactivity
    Human, Mouse, Rat
See all GRK2 products