GRP94 antibody, Internal

Cat. No. GTX89299
Cat. No.  GTX89299
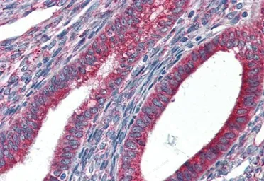
Anti-GRP94 antibody, Internal used in IHC (Paraffin sections) (IHC-P). GTX89299
GTX89299 IHC-P Image

IHC-P analysis of human uterus using GTX89299 GRP94 antibody, Internal.
Antigen retrieval : citrate buffer Ph 6
Dilution : 5μg/ml

1 / 3
Anti-GRP94 antibody, Internal used in Western Blot (WB). GTX89299
GTX89299 WB Image

WB analysis of NIH-3T3 lysate using GTX89299 GRP94 antibody, Internal.
Dilution : 0.03μg/ml
Loading : 35μg protein in RIPA buffer

2 / 3
Anti-GRP94 antibody, Internal used in IHC (Paraffin sections) (IHC-P). GTX89299
GTX89299 IHC-P Image

IHC-P analysis of human liver using GTX89299 GRP94 antibody, Internal.
Antigen retrieval : citrate buffer pH 6
Dilution : 3.8μg/ml

3 / 3
Anti-GRP94 antibody, Internal used in IHC (Paraffin sections) (IHC-P). GTX89299
Anti-GRP94 antibody, Internal used in Western Blot (WB). GTX89299
Anti-GRP94 antibody, Internal used in IHC (Paraffin sections) (IHC-P). GTX89299
  • Host
    Goat
  • Clonality
    Polyclonal
  • Isotype
    IgG
  • Applications
    WB IHC-P PLA
  • Reactivity
    Human, Mouse
See all GRP94 products