GSK3 alpha antibody

Cat. No. GTX50368
Cat. No.  GTX50368
Anti-GSK3 alpha antibody used in Immunocytochemistry/ Immunofluorescence (ICC/IF). GTX50368
GTX50368 ICC/IF Image

ICC/IF analysis of methanol-fixed MCF-7 cells using GTX50368 GSK3 alpha antibody.

1 / 3
Anti-GSK3 alpha antibody used in Western Blot (WB). GTX50368
GTX50368 WB Image

WB analysis of extracts from 293 cells using GTX50368 GSK3 alpha antibody.

2 / 3
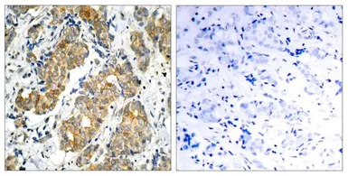
Anti-GSK3 alpha antibody used in IHC (Paraffin sections) (IHC-P). GTX50368
GTX50368 IHC-P Image

IHC-P analysis of human breast carcinoma tissue using GTX50368 GSK3 alpha antibody.
Left : Primary antibody
Right : Primary antibody pre-incubated with the antigen specific peptide

3 / 3
Anti-GSK3 alpha antibody used in Immunocytochemistry/ Immunofluorescence (ICC/IF). GTX50368
Anti-GSK3 alpha antibody used in Western Blot (WB). GTX50368
Anti-GSK3 alpha antibody used in IHC (Paraffin sections) (IHC-P). GTX50368
  • Host
    Rabbit
  • Clonality
    Polyclonal
  • Isotype
    IgG
  • Applications
    WB ICC/IF IHC-P
  • Reactivity
    Human
See all GSK3 alpha products