GSK3 alpha (phospho Tyr279) + GSK3 beta (phospho Tyr216) antibody

Cat. No. GTX79063
Cat. No.  GTX79063
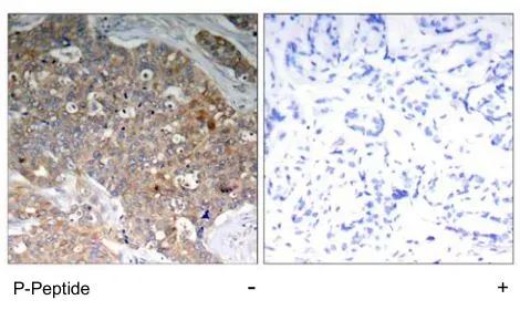
Anti-GSK3 alpha (phospho Tyr279) + GSK3 beta (phospho Tyr216) antibody used in IHC (Paraffin sections) (IHC-P). GTX79063
GTX79063 IHC-P Image

IHC-P analysis of human breast carcinoma tissue using GTX79063 GSK3 alpha (phospho Tyr279) + GSK3 beta (phospho Tyr216) antibody.

1 / 2
Anti-GSK3 alpha (phospho Tyr279) + GSK3 beta (phospho Tyr216) antibody used in Western Blot (WB). GTX79063
GTX79063 WB Image

WB analysis of various samples using GTX79063 GSK3 alpha (phospho Tyr279) + GSK3 beta (phospho Tyr216) antibody.
Lane 1 : 293 whole cell lysate
Lane 2 : 293 whole cell lysate with 40μM insulin treatment for 30min

2 / 2
Anti-GSK3 alpha (phospho Tyr279) + GSK3 beta (phospho Tyr216) antibody used in IHC (Paraffin sections) (IHC-P). GTX79063
Anti-GSK3 alpha (phospho Tyr279) + GSK3 beta (phospho Tyr216) antibody used in Western Blot (WB). GTX79063
  • Host
    Rabbit
  • Clonality
    Polyclonal
  • Isotype
    IgG
  • Applications
    WB IHC-P
  • Reactivity
    Human
See all GSK3 alpha products