GSK3 beta antibody

Cat. No. GTX50363
Cat. No.  GTX50363
Anti-GSK3 beta antibody used in Western Blot (WB). GTX50363
GTX50363 WB Image

WB analysis of extracts from A2780 and HT-29 cells using GTX50363 GSK3 beta antibody.

1 / 3
Anti-GSK3 beta antibody used in Immunocytochemistry/ Immunofluorescence (ICC/IF). GTX50363
GTX50363 ICC/IF Image

ICC/IF analysis of methanol-fixed HeLa cells using GTX50363 GSK3 beta antibody.

2 / 3
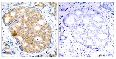
Anti-GSK3 beta antibody used in IHC (Paraffin sections) (IHC-P). GTX50363
GTX50363 IHC-P Image

IHC-P analysis of human breast carcinoma tissue using GTX50363 GSK3 beta antibody.
Left : Primary antibody
Right : Primary antibody pre-incubated with the antigen specific peptide

3 / 3
Anti-GSK3 beta antibody used in Western Blot (WB). GTX50363
Anti-GSK3 beta antibody used in Immunocytochemistry/ Immunofluorescence (ICC/IF). GTX50363
Anti-GSK3 beta antibody used in IHC (Paraffin sections) (IHC-P). GTX50363
  • Host
    Rabbit
  • Clonality
    Polyclonal
  • Isotype
    IgG
  • Applications
    WB ICC/IF IHC-P
  • Reactivity
    Human
See all GSK3 beta products