GSK3 beta (phospho Ser9) antibody

Cat. No. GTX55012
Cat. No.  GTX55012
Anti-GSK3 beta (phospho Ser9) antibody used in Western Blot (WB). GTX55012
GTX55012 WB Image

WB analysis of UV-treated HEK293T (A), rat kidney (B) whole cell lysates using GTX55012 GSK3 beta (phospho Ser9) antibody.

1 / 2
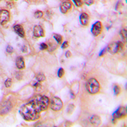
Anti-GSK3 beta (phospho Ser9) antibody used in IHC (Paraffin sections) (IHC-P). GTX55012
GTX55012 IHC-P Image

IHC-P analysis of formalin fixed human breast cancer tissue section using GTX55012 GSK3 beta (phospho Ser9) antibody.
Antigen retrieval : Heat mediated antigen retrieval with sodium citrate buffer (pH 6.0)

2 / 2
Anti-GSK3 beta (phospho Ser9) antibody used in Western Blot (WB). GTX55012
Anti-GSK3 beta (phospho Ser9) antibody used in IHC (Paraffin sections) (IHC-P). GTX55012
  • Host
    Rabbit
  • Clonality
    Polyclonal
  • Isotype
    IgG
  • Applications
    WB IHC-P
  • Reactivity
    Human, Rat
See all GSK3 beta products