GSPT1 antibody [HL1346]

Cat. No. GTX636766
Cat. No.  GTX636766
Anti-GSPT1 antibody [HL1346] used in Western Blot (WB). GTX636766
GTX636766 WB Image

Various whole cell extracts (30 μg) were separated by 7.5% SDS-PAGE, and the membrane was blotted with GSPT1 antibody [HL1346] (GTX636766) diluted at 1:20000. The HRP-conjugated anti-rabbit IgG antibody (GTX213110-01) was used to detect the primary antibody.

1 / 7
Anti-GSPT1 antibody [HL1346] used in IHC (Paraffin sections) (IHC-P). GTX636766
GTX636766 IHC-P Image

GSPT1 antibody [HL1346] detects GSPT1 protein at cytoplasm by immunohistochemical analysis.
Sample: Paraffin-embedded mouse esophagus.
GSPT1 stained by GSPT1 antibody [HL1346] (GTX636766) diluted at 1:100.
Antigen Retrieval: Citrate buffer, pH 6.0, 15 min

2 / 7
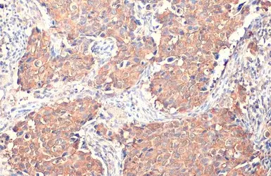
Anti-GSPT1 antibody [HL1346] used in IHC (Paraffin sections) (IHC-P). GTX636766
GTX636766 IHC-P Image

GSPT1 antibody [HL1346] detects GSPT1 protein at cytoplasm by immunohistochemical analysis.
Sample: Paraffin-embedded human breast carcinoma.
GSPT1 stained by GSPT1 antibody [HL1346] (GTX636766) diluted at 1:100.
Antigen Retrieval: Citrate buffer, pH 6.0, 15 min

3 / 7
Anti-GSPT1 antibody [HL1346] used in IHC (Paraffin sections) (IHC-P). GTX636766
GTX636766 IHC-P Image

GSPT1 antibody [HL1346] detects GSPT1 protein at cytoplasm by immunohistochemical analysis.
Sample: Paraffin-embedded rat colon.
GSPT1 stained by GSPT1 antibody [HL1346] (GTX636766) diluted at 1:100.
Antigen Retrieval: Citrate buffer, pH 6.0, 15 min

4 / 7
Anti-GSPT1 antibody [HL1346] used in Western Blot (WB). GTX636766
GTX636766 WB Image

Various whole cell extracts (30 μg) were separated by 7.5% SDS-PAGE, and the membrane was blotted with GSPT1 antibody [HL1346] (GTX636766) diluted at 1:3000. The HRP-conjugated anti-rabbit IgG antibody (GTX213110-01) was used to detect the primary antibody.

5 / 7
Anti-GSPT1 antibody [HL1346] used in IHC (Paraffin sections) (IHC-P). GTX636766
GTX636766 IHC-P Image

GSPT1 antibody [HL1346] detects GSPT1 protein by immunohistochemical analysis.
Sample: Paraffin-embedded rat tissues.
GSPT1 stained by GSPT1 antibody [HL1346] (GTX636766) diluted at 1:100.
Antigen Retrieval: Citrate buffer, pH 6.0, 15 min

6 / 7
Anti-GSPT1 antibody [HL1346] used in Immunocytochemistry/ Immunofluorescence (ICC/IF). GTX636766
GTX636766 ICC/IF Image

GSPT1 antibody [HL1346] detects GSPT1 protein at cytoplasm by immunofluorescent analysis.
Sample: HeLa cells were fixed in 4% paraformaldehyde at RT for 15 min.
Green: GSPT1 stained by GSPT1 antibody [HL1346] (GTX636766) diluted at 1:500.
Blue: Fluoroshield with DAPI (GTX30920).

7 / 7
Anti-GSPT1 antibody [HL1346] used in Western Blot (WB). GTX636766
Anti-GSPT1 antibody [HL1346] used in IHC (Paraffin sections) (IHC-P). GTX636766
Anti-GSPT1 antibody [HL1346] used in IHC (Paraffin sections) (IHC-P). GTX636766
Anti-GSPT1 antibody [HL1346] used in IHC (Paraffin sections) (IHC-P). GTX636766
Anti-GSPT1 antibody [HL1346] used in Western Blot (WB). GTX636766
Anti-GSPT1 antibody [HL1346] used in IHC (Paraffin sections) (IHC-P). GTX636766
Anti-GSPT1 antibody [HL1346] used in Immunocytochemistry/ Immunofluorescence (ICC/IF). GTX636766
  • Host
    Rabbit
  • Clonality
    Monoclonal
  • Clone Name
    HL1346
  • Isotype
    IgG
  • Applications
    WB ICC/IF IHC-P
  • Reactivity
    Human, Mouse, Rat, Cat, Dog
See all GSPT1 products