GSPT1 antibody

Cat. No. GTX105475
Cat. No.  GTX105475
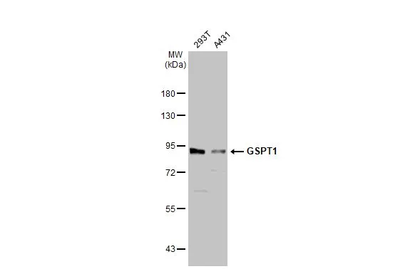
Anti-GSPT1 antibody used in Western Blot (WB). GTX105475
GTX105475 WB Image

Various whole cell extracts (30 μg) were separated by 7.5% SDS-PAGE, and the membrane was blotted with GSPT1 antibody (GTX105475) diluted at 1:1000. The HRP-conjugated anti-rabbit IgG antibody (GTX213110-01) was used to detect the primary antibody.

1 / 6
Anti-GSPT1 antibody used in IHC (Paraffin sections) (IHC-P). GTX105475
GTX105475 IHC-P Image

Immunohistochemical analysis of paraffin-embedded human breast cancer, using GSPT1(GTX105475) antibody at 1:500 dilution.
Antigen Retrieval: Trilogy™ (EDTA based, pH 8.0) buffer, 15min

2 / 6
Anti-GSPT1 antibody used in Western Blot (WB). GTX105475
GTX105475 WB Image

Various whole cell extracts (30 μg) were separated by 7.5% SDS-PAGE, and the membrane was blotted with GSPT1 antibody (GTX105475) diluted at 1:1000. The HRP-conjugated anti-rabbit IgG antibody (GTX213110-01) was used to detect the primary antibody.

3 / 6
Anti-GSPT1 antibody used in Immunocytochemistry/ Immunofluorescence (ICC/IF). GTX105475
GTX105475 ICC/IF Image

GSPT1 antibody detects GSPT1 protein at cytoplasm by immunofluorescent analysis.
Sample: HeLa cells were fixed in 4% paraformaldehyde at RT for 15 min.
Green: GSPT1 stained by GSPT1 antibody (GTX105475) diluted at 1:500.
Blue: Fluoroshield with DAPI (GTX30920).

4 / 6
Anti-GSPT1 antibody used in IHC (Paraffin sections) (IHC-P). GTX105475
GTX105475 IHC-P Image

GSPT1 antibody detects GSPT1 protein at cytoplasm by immunohistochemical analysis.
Sample: Paraffin-embedded mouse stomach.
GSPT1 stained by GSPT1 antibody (GTX105475) diluted at 1:500.
Antigen Retrieval: Citrate buffer, pH 6.0, 15 min

5 / 6
Anti-GSPT1 antibody used in IHC (Paraffin sections) (IHC-P). GTX105475
GTX105475 IHC-P Image

GSPT1 antibody detects GSPT1 protein at cytoplasm by immunohistochemical analysis.
Sample: Paraffin-embedded rat colon.
GSPT1 stained by GSPT1 antibody (GTX105475) diluted at 1:500.
Antigen Retrieval: Citrate buffer, pH 6.0, 15 min

6 / 6
Anti-GSPT1 antibody used in Western Blot (WB). GTX105475
Anti-GSPT1 antibody used in IHC (Paraffin sections) (IHC-P). GTX105475
Anti-GSPT1 antibody used in Western Blot (WB). GTX105475
Anti-GSPT1 antibody used in Immunocytochemistry/ Immunofluorescence (ICC/IF). GTX105475
Anti-GSPT1 antibody used in IHC (Paraffin sections) (IHC-P). GTX105475
Anti-GSPT1 antibody used in IHC (Paraffin sections) (IHC-P). GTX105475
  • Host
    Rabbit
  • Clonality
    Polyclonal
  • Isotype
    IgG
  • Applications
    WB ICC/IF IHC-P
  • Reactivity
    Human, Mouse, Rat
See all GSPT1 products