GSTZ1 antibody [N1C3]

Cat. No. GTX106109
Cat. No.  GTX106109
Anti-GSTZ1 antibody [N1C3] used in Immunocytochemistry/ Immunofluorescence (ICC/IF). GTX106109
GTX106109 ICC/IF Image

GSTZ1 antibody [N1C3] detects GSTZ1 protein at cytoplasm by immunofluorescent analysis.
Sample: HepG2 cells were fixed in ice-cold MeOH for 5 min.
Green: GSTZ1 protein stained by GSTZ1 antibody [N1C3] (GTX106109) diluted at 1:500.
Blue: Hoechst 33342 staining.

1 / 6
Anti-GSTZ1 antibody [N1C3] used in Western Blot (WB). GTX106109
GTX106109 WB Image

Sample (30 ug of whole cell lysate)
A: 293T
12% SDS PAGE
GTX106109 diluted at 1:1000

2 / 6
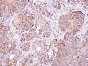
Anti-GSTZ1 antibody [N1C3] used in IHC (Paraffin sections) (IHC-P). GTX106109
GTX106109 IHC-P Image

Immunohistochemical analysis of paraffin-embedded SW480 xenograft, using MAAI(GTX106109) antibody at 1:100 dilution.
Antigen Retrieval: Trilogy™ (EDTA based, pH 8.0) buffer, 15min

3 / 6
Anti-GSTZ1 antibody [N1C3] used in Western Blot (WB). GTX106109
GTX106109 WB Image

The data was published in the journal FEBS Open Bio in 2020. PMID: 31782257

4 / 6
Anti-GSTZ1 antibody [N1C3] used in Western Blot (WB). GTX106109
GTX106109 WB Image

The data was published in the journal J Exp Clin Cancer Res in 2019. PMID: 31666108

5 / 6
Anti-GSTZ1 antibody [N1C3] used in Western Blot (WB). GTX106109
GTX106109 WB Image

The data was published in the journal FEBS Open Bio in 2020. PMID: 31782257

6 / 6
Anti-GSTZ1 antibody [N1C3] used in Immunocytochemistry/ Immunofluorescence (ICC/IF). GTX106109
Anti-GSTZ1 antibody [N1C3] used in Western Blot (WB). GTX106109
Anti-GSTZ1 antibody [N1C3] used in IHC (Paraffin sections) (IHC-P). GTX106109
Anti-GSTZ1 antibody [N1C3] used in Western Blot (WB). GTX106109
Anti-GSTZ1 antibody [N1C3] used in Western Blot (WB). GTX106109
Anti-GSTZ1 antibody [N1C3] used in Western Blot (WB). GTX106109
  • Host
    Rabbit
  • Clonality
    Polyclonal
  • Isotype
    IgG
  • Applications
    WB ICC/IF IHC-P
  • Reactivity
    Human
See all GSTZ1 products