Galactosylceramidase antibody

Cat. No. GTX64559
Cat. No.  GTX64559
Anti-Galactosylceramidase antibody used in Western Blot (WB). GTX64559
GTX64559 WB Image

WB analysis of various sample lysates using GTX64559 Galactosylceramidase antibody.
Dilution : 1:1000
Loading : 25μg per lane

1 / 4
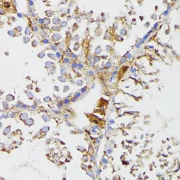
Anti-Galactosylceramidase antibody used in IHC (Paraffin sections) (IHC-P). GTX64559
GTX64559 IHC-P Image

IHC-P analysis of human liver cancer tissue using GTX64559 Galactosylceramidase antibody.
Dilution : 1:100

2 / 4
Anti-Galactosylceramidase antibody used in IHC (Paraffin sections) (IHC-P). GTX64559
GTX64559 IHC-P Image

IHC-P analysis of mouse kidney tissue using GTX64559 Galactosylceramidase antibody.
Dilution : 1:100

3 / 4
Anti-Galactosylceramidase antibody used in IHC (Paraffin sections) (IHC-P). GTX64559
GTX64559 IHC-P Image

IHC-P analysis of mouse testis tissue using GTX64559 Galactosylceramidase antibody.
Dilution : 1:100

4 / 4
Anti-Galactosylceramidase antibody used in Western Blot (WB). GTX64559
Anti-Galactosylceramidase antibody used in IHC (Paraffin sections) (IHC-P). GTX64559
Anti-Galactosylceramidase antibody used in IHC (Paraffin sections) (IHC-P). GTX64559
Anti-Galactosylceramidase antibody used in IHC (Paraffin sections) (IHC-P). GTX64559
  • Host
    Rabbit
  • Clonality
    Polyclonal
  • Isotype
    IgG
  • Applications
    WB IHC-P
  • Reactivity
    Human, Mouse, Rat
See all Galactosylceramidase products