Galectin 3 antibody [A3A12]

Cat. No. GTX22785
Cat. No.  GTX22785
Anti-Galectin 3 antibody [A3A12] used in Immunocytochemistry/ Immunofluorescence (ICC/IF). GTX22785
GTX22785 ICC/IF Image

ICC/IF analysis of HeLa cells using GTX22785 Galectin 3 antibody [A3A12]. Cells were probed without (left) or with(right) an antibody.
Green : Primary antibody
Blue : Nuclei
Red : Actin
Fixation : Formalin
Permeabilization : 0.1% Triton X-100 in TBS for 5-10 minute
Dilution : 1:100 incubated overnight at 4 ºC

1 / 8
Anti-Galectin 3 antibody [A3A12] used in Immunocytochemistry/ Immunofluorescence (ICC/IF). GTX22785
GTX22785 ICC/IF Image

ICC/IF analysis of NIH-3T3 cells using GTX22785 Galectin 3 antibody [A3A12]. Cells were probed without (left) or with(right) an antibody.
Green : Primary antibody
Blue : Nuclei
Red : Actin
Fixation : Formalin
Permeabilization : 0.1% Triton X-100 in TBS for 5-10 minute
Dilution : 1:100 incubated overnight at 4 ºC

2 / 8
Anti-Galectin 3 antibody [A3A12] used in IHC (Frozen sections) (IHC-Fr). GTX22785
GTX22785 IHC-Fr Image

IHC-Fr analysis of rat olfactory bulb tissue using GTX22785 Galectin 3 antibody [A3A12].

3 / 8
Anti-Galectin 3 antibody [A3A12] used in Western Blot (WB). GTX22785
GTX22785 WB Image

WB analysis of 25 ug of MCF-7 (Lane 1), Hela (Lane 2), and NIH-3T3 cell lysates (Lane 3) using GTX22785 Galectin 3 antibody [A3A12].
Dilution : 1:1000

4 / 8
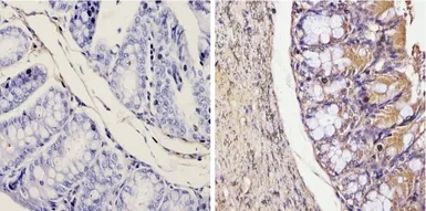
Anti-Galectin 3 antibody [A3A12] used in IHC (Paraffin sections) (IHC-P). GTX22785
GTX22785 IHC-P Image

IHC-P analysis of mouse colon tissue using GTX22785 Galectin 3 antibody [A3A12].
Right : Primary antibody
Left : Negative control without primary antibody
Antigen retrieval : 10mM sodium citrate (pH 6.0) microwaved for 8-15 min
Dilution : 1:20

5 / 8
Anti-Galectin 3 antibody [A3A12] used in Immunocytochemistry/ Immunofluorescence (ICC/IF). GTX22785
GTX22785 ICC/IF Image

ICC/IF analysis of MCF-7 cells using GTX22785 Galectin 3 antibody [A3A12]. Cells were probed without (left) or with(right) an antibody.
Green : Primary antibody
Blue : Nuclei
Red : Actin
Fixation : Formalin
Permeabilization : 0.1% Triton X-100 in TBS for 5-10 minute
Dilution : 1:100 incubated overnight at 4 ºC

6 / 8
Anti-Galectin 3 antibody [A3A12] used in IHC (Paraffin sections) (IHC-P). GTX22785
GTX22785 IHC-P Image

IHC-P analysis of human colon tissue using GTX22785 Galectin 3 antibody [A3A12].
Right : Primary antibody
Left : Negative control without primary antibody
Antigen retrieval : 10mM sodium citrate (pH 6.0) microwaved for 8-15 min
Dilution : 1:100

7 / 8
Anti-Galectin 3 antibody [A3A12] used in IHC (Paraffin sections) (IHC-P). GTX22785
GTX22785 IHC-P Image

IHC-P analysis of human ovarian carcinoma tissue using GTX22785 Galectin 3 antibody [A3A12].
Right : Primary antibody
Left : Negative control without primary antibody
Antigen retrieval : 10mM sodium citrate (pH 6.0) microwaved for 8-15 min
Dilution : 1:100

8 / 8
Anti-Galectin 3 antibody [A3A12] used in Immunocytochemistry/ Immunofluorescence (ICC/IF). GTX22785
Anti-Galectin 3 antibody [A3A12] used in Immunocytochemistry/ Immunofluorescence (ICC/IF). GTX22785
Anti-Galectin 3 antibody [A3A12] used in IHC (Frozen sections) (IHC-Fr). GTX22785
Anti-Galectin 3 antibody [A3A12] used in Western Blot (WB). GTX22785
Anti-Galectin 3 antibody [A3A12] used in IHC (Paraffin sections) (IHC-P). GTX22785
Anti-Galectin 3 antibody [A3A12] used in Immunocytochemistry/ Immunofluorescence (ICC/IF). GTX22785
Anti-Galectin 3 antibody [A3A12] used in IHC (Paraffin sections) (IHC-P). GTX22785
Anti-Galectin 3 antibody [A3A12] used in IHC (Paraffin sections) (IHC-P). GTX22785
  • Host
    Mouse
  • Clonality
    Monoclonal
  • Clone Name
    A3A12
  • Isotype
    IgG1
  • Applications
    WB ICC/IF IHC-P IHC-Fr ELISA
  • Reactivity
    Human, Mouse, Rat
See all Galectin 3 products