Galectin 3 antibody

Cat. No. GTX55633
Cat. No.  GTX55633
Anti-Galectin 3 antibody used in Immunocytochemistry/ Immunofluorescence (ICC/IF). GTX55633
GTX55633 ICC/IF Image

ICC/IF analysis of MCF7 cells using GTX55633 Galectin 3 antibody.
Blue : DAPI

1 / 4
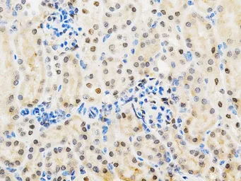
Anti-Galectin 3 antibody used in IHC (Paraffin sections) (IHC-P). GTX55633
GTX55633 IHC-P Image

IHC-P analysis of mouse kidney tissue using GTX55633 Galectin 3 antibody.
Dilution : 1:200

2 / 4
Anti-Galectin 3 antibody used in IHC (Paraffin sections) (IHC-P). GTX55633
GTX55633 IHC-P Image

IHC-P analysis of rat brain tissue using GTX55633 Galectin 3 antibody.
Dilution : 1:200

3 / 4
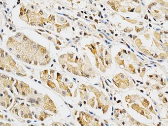
Anti-Galectin 3 antibody used in IHC (Paraffin sections) (IHC-P). GTX55633
GTX55633 IHC-P Image

IHC-P analysis of human stomach tissue using GTX55633 Galectin 3 antibody.
Dilution : 1:200

4 / 4
Anti-Galectin 3 antibody used in Immunocytochemistry/ Immunofluorescence (ICC/IF). GTX55633
Anti-Galectin 3 antibody used in IHC (Paraffin sections) (IHC-P). GTX55633
Anti-Galectin 3 antibody used in IHC (Paraffin sections) (IHC-P). GTX55633
Anti-Galectin 3 antibody used in IHC (Paraffin sections) (IHC-P). GTX55633
  • Host
    Rabbit
  • Clonality
    Polyclonal
  • Isotype
    IgG
  • Applications
    ICC/IF IHC-P
  • Reactivity
    Human, Mouse, Rat
See all Galectin 3 products