Gelsolin antibody [C2C3], C-term

Cat. No. GTX101185
Cat. No.  GTX101185
Anti-Gelsolin antibody [C2C3], C-term used in Western Blot (WB). GTX101185
GTX101185 WB Image

Non-transfected (–) and transfected (+) HeLa whole cell extracts (30 μg) were separated by 7.5% SDS-PAGE, and the membrane was blotted with Gelsolin antibody [C2C3], C-term (GTX101185) diluted at 1:500.

1 / 7
Anti-Gelsolin antibody [C2C3], C-term used in Western Blot (WB). GTX101185
GTX101185 WB Image

Human plasma (30 μg) was separated by 7.5% SDS-PAGE, and the membrane was blotted with Gelsolin antibody [C2C3], C-term (GTX101185) diluted at 1:1000. The HRP-conjugated anti-rabbit IgG antibody (GTX213110-01) was used to detect the primary antibody.

2 / 7
Anti-Gelsolin antibody [C2C3], C-term used in Western Blot (WB). GTX101185
GTX101185 WB Image

Rat tissue extract (50 μg) was separated by 7.5% SDS-PAGE, and the membrane was blotted with Gelsolin antibody [C2C3], C-term (GTX101185) diluted at 1:500.

3 / 7
Anti-Gelsolin antibody [C2C3], C-term used in Western Blot (WB). GTX101185
GTX101185 WB Image

Sample (30 ug of whole cell lysate)
A: H1299
B: Hela
7.5% SDS PAGE
GTX101185 diluted at 1:1000

4 / 7
Anti-Gelsolin antibody [C2C3], C-term used in Immunocytochemistry/ Immunofluorescence (ICC/IF). GTX101185
GTX101185 ICC/IF Image

Confocal immunofluorescence analysis (Olympus FV10i) of methanol-fixed HeLa, using Gelsolin(GTX101185) antibody (Green) at 1:500 dilution. Alpha-tubulin filaments were labeled with GTX11304 (Red) at 1:2000.

5 / 7
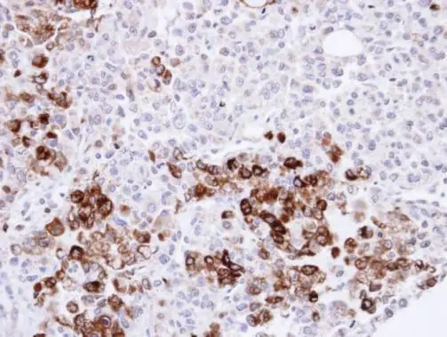
Anti-Gelsolin antibody [C2C3], C-term used in IHC (Paraffin sections) (IHC-P). GTX101185
GTX101185 IHC-P Image

Immunohistochemical analysis of paraffin-embedded H1299 xenograft, using Gelsolin(GTX101185) antibody at 1:500 dilution.
Antigen Retrieval: Trilogy™ (EDTA based, pH 8.0) buffer, 15min

6 / 7
Anti-Gelsolin antibody [C2C3], C-term used in Western Blot (WB). GTX101185
GTX101185 WB Image

Mouse tissue extract (50 μg) was separated by 7.5% SDS-PAGE, and the membrane was blotted with Gelsolin antibody [C2C3], C-term (GTX101185) diluted at 1:500.

7 / 7
Anti-Gelsolin antibody [C2C3], C-term used in Western Blot (WB). GTX101185
Anti-Gelsolin antibody [C2C3], C-term used in Western Blot (WB). GTX101185
Anti-Gelsolin antibody [C2C3], C-term used in Western Blot (WB). GTX101185
Anti-Gelsolin antibody [C2C3], C-term used in Western Blot (WB). GTX101185
Anti-Gelsolin antibody [C2C3], C-term used in Immunocytochemistry/ Immunofluorescence (ICC/IF). GTX101185
Anti-Gelsolin antibody [C2C3], C-term used in IHC (Paraffin sections) (IHC-P). GTX101185
Anti-Gelsolin antibody [C2C3], C-term used in Western Blot (WB). GTX101185
  • Host
    Rabbit
  • Clonality
    Polyclonal
  • Isotype
    IgG
  • Applications
    WB ICC/IF IHC-P
  • Reactivity
    Human, Mouse, Rat
See all Gelsolin products