Ghrelin antibody

Cat. No. GTX33964
Cat. No.  GTX33964
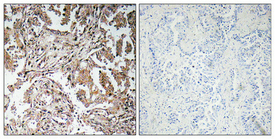
Anti-Ghrelin antibody used in IHC (Paraffin sections) (IHC-P). GTX33964
GTX33964 IHC-P Image

IHC-P analysis of human lung cancer tissue using GTX33964 Ghrelin antibody. Negative control (the lower left coner) was secondary antibody only.
Antigen retrieval : Tris-EDTA, pH8.0 under high-pressure and temperature
Dilution : 1:100

1 / 3
Anti-Ghrelin antibody used in Western Blot (WB). GTX33964
GTX33964 WB Image

WB analysis of 293 cell lysate using GTX33964 Ghrelin antibody.

2 / 3
Anti-Ghrelin antibody used in Western Blot (WB). GTX33964
GTX33964 WB Image

WB analysis of 293 cell lysate using GTX33964 Ghrelin antibody.

3 / 3
Anti-Ghrelin antibody used in IHC (Paraffin sections) (IHC-P). GTX33964
Anti-Ghrelin antibody used in Western Blot (WB). GTX33964
Anti-Ghrelin antibody used in Western Blot (WB). GTX33964
  • Host
    Rabbit
  • Clonality
    Polyclonal
  • Isotype
    IgG
  • Applications
    WB IHC-P
  • Reactivity
    Human
See all Ghrelin products