GluR4 antibody

Cat. No. GTX57744
Cat. No.  GTX57744
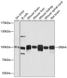
Anti-GluR4 antibody used in Western Blot (WB). GTX57744
GTX57744 WB Image

WB analysis of various sample lysates using GTX57744 GluR4 antibody.
Dilution : 1:1000
Loading : 25μg per lane

1 / 1
Anti-GluR4 antibody used in Western Blot (WB). GTX57744
  • Host
    Rabbit
  • Clonality
    Polyclonal
  • Isotype
    IgG
  • Applications
    WB
  • Reactivity
    Human, Mouse, Rat
See all GluR4 products