Glucagon antibody [HL4596]

Cat. No. GTX644272
Cat. No.  GTX644272
Anti-Glucagon antibody [HL4596] used in IHC (Paraffin sections) (IHC-P). GTX644272
GTX644272 IHC-P Image

Glucagon antibody [HL4596] detects Glucagon protein by immunohistochemical analysis.
Sample: Paraffin-embedded rat pancreas.
Glucagon stained by Glucagon antibody [HL4596] (GTX644272) diluted at 1:2000.
Antigen Retrieval: Citrate buffer, pH 6.0, 15 min

1 / 7
Anti-Glucagon antibody [HL4596] used in IHC (Paraffin sections) (IHC-P). GTX644272
GTX644272 IHC-P Image

Glucagon antibody [HL4596] detects Glucagon protein by immunohistochemical analysis.
Sample: Paraffin-embedded human tissues.
Glucagon stained by Glucagon antibody [HL4596] (GTX644272) diluted at 1:500.
Antigen Retrieval: Citrate buffer, pH 6.0, 15 min

2 / 7
Anti-Glucagon antibody [HL4596] used in IHC (Frozen sections) (IHC-Fr). GTX644272
GTX644272 IHC-Fr Image

Glucagon antibody [HL4596] detects Glucagon protein by immunohistochemical analysis.
Sample: Frozen-sectioned mouse pancreas.
Green: Glucagon stained by Glucagon antibody [HL4596] (GTX644272) diluted at 1:250.
Red: Vimentin antibody [GT812] (GTX629744) diluted at 1:1000.
Blue: Hoechst 33342 staining.

3 / 7
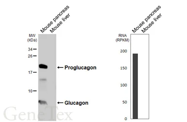
Anti-Glucagon antibody [HL4596] used in Western Blot (WB). GTX644272
GTX644272 WB Image

Various tissue extracts (50 μg) were separated by 15% SDS-PAGE, and the membrane was blotted with Glucagon antibody [HL4596] (GTX644272) diluted at 1:500. The HRP-conjugated anti-rabbit IgG antibody (GTX213110-01) was used to detect the primary antibody. Corresponding RNA expression data are based on NCBI database.

4 / 7
Anti-Glucagon antibody [HL4596] used in Western Blot (WB). GTX644272
GTX644272 WB Image

Various tissue extracts (50 μg) were separated by 15% SDS-PAGE, and the membrane was blotted with Glucagon antibody [HL4596] (GTX644272) diluted at 1:500. The HRP-conjugated anti-rabbit IgG antibody (GTX213110-01) was used to detect the primary antibody, and the signal was developed with Trident femto Western HRP Substrate.

5 / 7
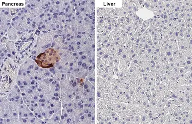
Anti-Glucagon antibody [HL4596] used in IHC (Paraffin sections) (IHC-P). GTX644272
GTX644272 IHC-P Image

Glucagon antibody [HL4596] detects Glucagon and Glucagon-sequence containing proteins by immunohistochemical analysis.
Sample: Paraffin-embedded mouse tissues.
Glicentin and oxyntomodulin, glucagon-sequence containing proteins, stained by Glucagon antibody [HL4596] (GTX644272) diluted at 1:500.
Antigen Retrieval: Citrate buffer, pH 6.0, 15 min

6 / 7
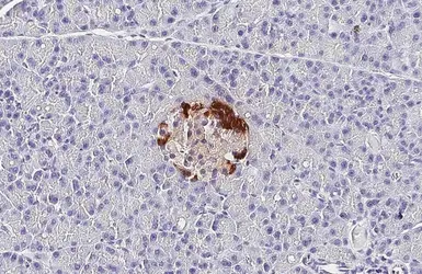
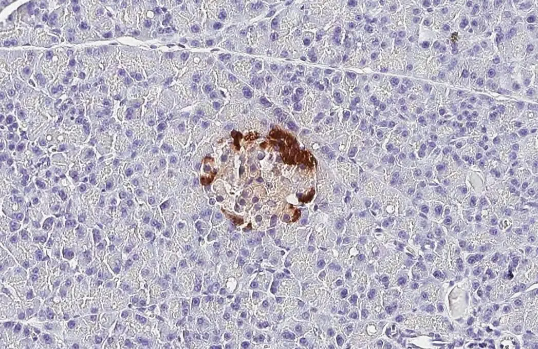
Anti-Glucagon antibody [HL4596] used in IHC (Paraffin sections) (IHC-P). GTX644272
GTX644272 IHC-P Image

Glucagon antibody [HL4596] detects Glucagon protein by immunohistochemical analysis.
Sample: Paraffin-embedded mouse pancreas.
Glucagon stained by Glucagon antibody [HL4596] (GTX644272) diluted at 1:500.
Antigen Retrieval: Citrate buffer, pH 6.0, 15 min

7 / 7
Anti-Glucagon antibody [HL4596] used in IHC (Paraffin sections) (IHC-P). GTX644272
Anti-Glucagon antibody [HL4596] used in IHC (Paraffin sections) (IHC-P). GTX644272
Anti-Glucagon antibody [HL4596] used in IHC (Frozen sections) (IHC-Fr). GTX644272
Anti-Glucagon antibody [HL4596] used in Western Blot (WB). GTX644272
Anti-Glucagon antibody [HL4596] used in Western Blot (WB). GTX644272
Anti-Glucagon antibody [HL4596] used in IHC (Paraffin sections) (IHC-P). GTX644272
Anti-Glucagon antibody [HL4596] used in IHC (Paraffin sections) (IHC-P). GTX644272
  • Host
    Rabbit
  • Clonality
    Monoclonal
  • Clone Name
    HL4596
  • Isotype
    IgG
  • Applications
    WB IHC-P IHC-Fr
  • Reactivity
    Human, Mouse, Rat
See all Glucagon products