Glucocorticoid Receptor antibody [GT1073]

Cat. No. GTX634705
Cat. No.  GTX634705
Anti-Glucocorticoid Receptor antibody [GT1073] used in Western Blot (WB). GTX634705
GTX634705 WB Image

Wild-type (WT) and NR3C1 knockout (KO) HeLa cell extracts (30 μg) were separated by 7.5% SDS-PAGE, and the membrane was blotted with Glucocorticoid Receptor antibody [GT1073] (GTX634705) diluted at 1:1000. The HRP-conjugated anti-mouse IgG antibody (GTX213111-01) was used to detect the primary antibody.

1 / 4
Anti-Glucocorticoid Receptor antibody [GT1073] used in Western Blot (WB). GTX634705
GTX634705 WB Image

Various whole cell extracts (30 μg) were separated by 7.5% SDS-PAGE, and the membrane was blotted with Glucocorticoid Receptor antibody [GT1073] (GTX634705) diluted at 1:1000. The HRP-conjugated anti-mouse IgG antibody (GTX213111-01) was used to detect the primary antibody.

2 / 4
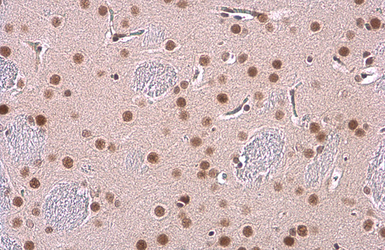
Anti-Glucocorticoid Receptor antibody [GT1073] used in IHC (Paraffin sections) (IHC-P). GTX634705
GTX634705 IHC-P Image

Glucocorticoid Receptor antibody [GT1073] detects Glucocorticoid Receptor protein at nucleus by immunohistochemical analysis.
Sample: Paraffin-embedded rat brain.
Glucocorticoid Receptor stained by Glucocorticoid Receptor antibody [GT1073] (GTX634705) diluted at 1:1000.
Antigen Retrieval: Citrate buffer, pH 6.0, 15 min

3 / 4
Anti-Glucocorticoid Receptor antibody [GT1073] used in IHC (Paraffin sections) (IHC-P). GTX634705
GTX634705 IHC-P Image

Glucocorticoid Receptor antibody [GT1073] detects Glucocorticoid Receptor protein at nucleus by immunohistochemical analysis.
Sample: Paraffin-embedded mouse intestine.
Glucocorticoid Receptor stained by Glucocorticoid Receptor antibody [GT1073] (GTX634705) diluted at 1:1000.
Antigen Retrieval: Citrate buffer, pH 6.0, 15 min

4 / 4
Anti-Glucocorticoid Receptor antibody [GT1073] used in Western Blot (WB). GTX634705
Anti-Glucocorticoid Receptor antibody [GT1073] used in Western Blot (WB). GTX634705
Anti-Glucocorticoid Receptor antibody [GT1073] used in IHC (Paraffin sections) (IHC-P). GTX634705
Anti-Glucocorticoid Receptor antibody [GT1073] used in IHC (Paraffin sections) (IHC-P). GTX634705
  • Host
    Mouse
  • Clonality
    Monoclonal
  • Clone Name
    GT1073
  • Isotype
    IgG2a
  • Applications
    WB IHC-P
  • Reactivity
    Human, Mouse, Rat
See all Glucocorticoid Receptor products