Glucocorticoid Receptor antibody

Cat. No. GTX113208
Cat. No.  GTX113208
Anti-Glucocorticoid Receptor antibody used in Western Blot (WB). GTX113208
GTX113208 WB Image

Wild-type (WT) and Glucocorticoid receptor knockout (KO) HeLa cell extracts (30 μg) were separated by 7.5% SDS-PAGE, and the membrane was blotted with Glucocorticoid receptor antibody (GTX113208) diluted at 1:1000. The HRP-conjugated anti-rabbit IgG antibody (GTX213110-01) was used to detect the primary antibody, and the signal was developed with Trident ECL plus-Enhanced.

1 / 6
Anti-Glucocorticoid Receptor antibody used in Immunoprecipitation (IP). GTX113208
GTX113208 IP Image

Glucocorticoid receptor antibody immunoprecipitates Glucocorticoid receptor protein in IP experiments. IP Sample: 1000 μg HeLa whole cell lysate/extract A. 40 μg HeLa whole cell lysate/extract B. Control with 2.5 μg of preimmune rabbit IgG C. Immunoprecipitation of Glucocorticoid receptor protein by 2.5 μg of Glucocorticoid receptor antibody (GTX113208) 7.5% SDS-PAGE The immunoprecipitated Glucocorticoid receptor protein was detected by Glucocorticoid receptor antibody (GTX113208) diluted at 1:1000.

2 / 6
Anti-Glucocorticoid Receptor antibody used in IHC (Paraffin sections) (IHC-P). GTX113208
GTX113208 IHC-P Image

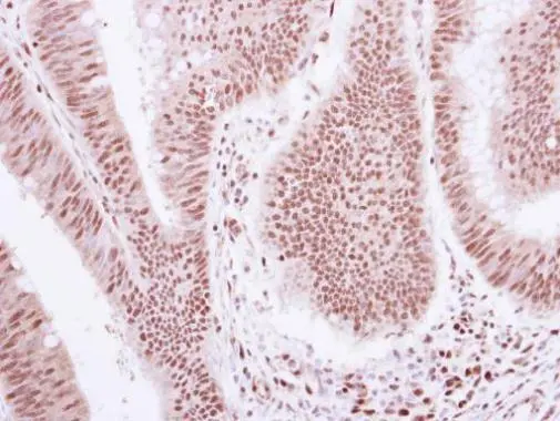
Immunohistochemical analysis of paraffin-embedded human colon carcinoma, using Glucocorticoid receptor(GTX113208) antibody at 1:250 dilution.
Antigen Retrieval: Trilogy™ (EDTA based, pH 8.0) buffer, 15min

3 / 6
Anti-Glucocorticoid Receptor antibody used in IHC (Paraffin sections) (IHC-P). GTX113208
GTX113208 IHC-P Image

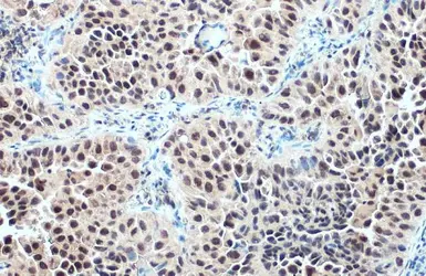
Glucocorticoid Receptor antibody detects Glucocorticoid Receptor protein at cytoplasm and nucleus by immunohistochemical analysis.
Sample: Paraffin-embedded human lung cancer.
Glucocorticoid Receptor stained by Glucocorticoid Receptor antibody (GT

4 / 6
Anti-Glucocorticoid Receptor antibody used in Immunocytochemistry/ Immunofluorescence (ICC/IF). GTX113208
GTX113208 ICC/IF Image

Glucocorticoid Receptor antibody detects Glucocorticoid Receptor protein at nucleus by immunofluorescent analysis.
Sample: A431 cells were fixed in 4% paraformaldehyde at RT for 15 min.
Green: Glucocorticoid Receptor stained by Glucocorticoid Receptor antibody (GTX113208) diluted at 1:500.
Blue: Fluoroshield with DAPI (GTX30920).

5 / 6
Anti-Glucocorticoid Receptor antibody used in Western Blot (WB). GTX113208
GTX113208 WB Image

Various whole cell extracts (30 μg) were separated by 5% SDS-PAGE, and the membrane was blotted with Glucocorticoid Receptor antibody (GTX113208) diluted at 1:1000. The HRP-conjugated anti-rabbit IgG antibody (GTX213110-01) was used to detect the primary antibody.

6 / 6
Anti-Glucocorticoid Receptor antibody used in Western Blot (WB). GTX113208
Anti-Glucocorticoid Receptor antibody used in Immunoprecipitation (IP). GTX113208
Anti-Glucocorticoid Receptor antibody used in IHC (Paraffin sections) (IHC-P). GTX113208
Anti-Glucocorticoid Receptor antibody used in IHC (Paraffin sections) (IHC-P). GTX113208
Anti-Glucocorticoid Receptor antibody used in Immunocytochemistry/ Immunofluorescence (ICC/IF). GTX113208
Anti-Glucocorticoid Receptor antibody used in Western Blot (WB). GTX113208
  • Host
    Rabbit
  • Clonality
    Polyclonal
  • Isotype
    IgG
  • Applications
    WB ICC/IF IHC-P IP
  • Reactivity
    Human
See all Glucocorticoid Receptor products