Glucokinase antibody, N-term

Cat. No. GTX59598
Cat. No.  GTX59598
Anti-Glucokinase antibody, N-term used in Western Blot (WB). GTX59598
GTX59598 WB Image

WB analysis of HepG2 cell lysate (Lane 1) and mouse liver tissue lysate (Lane 2) using GTX59598 Glucokinase antibody, N-term.

1 / 3
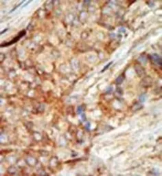
Anti-Glucokinase antibody, N-term used in IHC (Paraffin sections) (IHC-P). GTX59598
GTX59598 IHC-P Image

IHC-P analysis of human breast cancer tissue using Glucokinase antibody, N-term.

2 / 3
Anti-Glucokinase antibody, N-term used in Immunocytochemistry/ Immunofluorescence (ICC/IF). GTX59598
GTX59598 ICC/IF Image

ICC/IF analysis of HepG2 cells using GTX59598 Glucokinase antibody, N-term.
Green : Primary antibody
Blue : DAPI

3 / 3
Anti-Glucokinase antibody, N-term used in Western Blot (WB). GTX59598
Anti-Glucokinase antibody, N-term used in IHC (Paraffin sections) (IHC-P). GTX59598
Anti-Glucokinase antibody, N-term used in Immunocytochemistry/ Immunofluorescence (ICC/IF). GTX59598
  • Host
    Rabbit
  • Clonality
    Polyclonal
  • Isotype
    IgG
  • Applications
    WB ICC/IF IHC-P FCM ELISA IHC
  • Reactivity
    Human, Mouse
See all Glucokinase products