Glutaminase C (GAC) antibody [GT3211]

Cat. No. GTX632317
Cat. No.  GTX632317
Anti-Glutaminase C (GAC) antibody [GT3211] used in Western Blot (WB). GTX632317
GTX632317 WB Image

Various whole cell extracts (30 μg) were separated by 10% SDS-PAGE, and the membrane was blotted with Glutaminase C (GAC) antibody [GT3211] (GTX632317) diluted at 1:1000. The HRP-conjugated anti-mouse IgG antibody (GTX213111-01) was used to detect the primary antibody. Corresponding RNA expression data are based on Human Protein Atlas program.

1 / 4
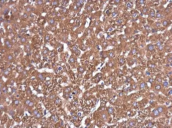
Anti-Glutaminase C (GAC) antibody [GT3211] used in IHC (Paraffin sections) (IHC-P). GTX632317
GTX632317 IHC-P Image

Glutaminase C antibody [GT3211] detects Glutaminase C protein at cytoplasm in mouse liver by immunohistochemical analysis.
Sample: Paraffin-embedded mouse liver.
Glutaminase C antibody [GT3211] (GTX632317) diluted at 1:250.

Antigen Retrieval: Citrate buffer, pH 6.0, 15 min

2 / 4
Anti-Glutaminase C (GAC) antibody [GT3211] used in Immunocytochemistry/ Immunofluorescence (ICC/IF). GTX632317
GTX632317 ICC/IF Image

Glutaminase C antibody [GT3211] detects Glutaminase C protein at mitochondria by immunofluorescent analysis.
Sample: A549 cells were fixed in 4% paraformaldehyde at RT for 15 min.
Green: Glutaminase C protein stained by Glutaminase C antibody [GT3211] (GTX632317) diluted at 1:200.
Blue: Hoechst 33342 staining.
Scale bar = 10 μm.

3 / 4
Anti-Glutaminase C (GAC) antibody [GT3211] used in Western Blot (WB). GTX632317
GTX632317 WB Image

Glutaminase C (GAC) antibody [GT3211] detects Glutaminase C (GAC) protein by western blot analysis. Various whole cell extracts (30 μg) were separated by 7.5% SDS-PAGE, and the membrane was blotted with Glutaminase C (GAC) antibody [GT3211] (GTX632317) diluted at a dilution of 1:1000.

4 / 4
Anti-Glutaminase C (GAC) antibody [GT3211] used in Western Blot (WB). GTX632317
Anti-Glutaminase C (GAC) antibody [GT3211] used in IHC (Paraffin sections) (IHC-P). GTX632317
Anti-Glutaminase C (GAC) antibody [GT3211] used in Immunocytochemistry/ Immunofluorescence (ICC/IF). GTX632317
Anti-Glutaminase C (GAC) antibody [GT3211] used in Western Blot (WB). GTX632317
  • Host
    Mouse
  • Clonality
    Monoclonal
  • Clone Name
    GT3211
  • Isotype
    IgG1
  • Applications
    WB ICC/IF IHC-P
  • Reactivity
    Human, Mouse
See all Glutaminase C products