Glutamine synthetase antibody [1F4]

Cat. No. GTX84426
Cat. No.  GTX84426
Anti-Glutamine synthetase antibody [1F4] used in Immunocytochemistry/ Immunofluorescence (ICC/IF). GTX84426
GTX84426 ICC/IF Image

ICC/IF analysis of COS7 cells transiently transfected with Glutamine synthetase plasmid using GTX84426 Glutamine synthetase antibody [1F4].

1 / 9
Anti-Glutamine synthetase antibody [1F4] used in IHC (Paraffin sections) (IHC-P). GTX84426
GTX84426 IHC-P Image

IHC-P analysis of human ovary tissue using GTX84426 Glutamine synthetase antibody [1F4].
Antigen retrieval : Heat-induced epitope retrieval by 10mM citrate buffer, pH6.0, 100ºC for 10min.

2 / 9
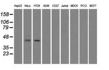
Anti-Glutamine synthetase antibody [1F4] used in Western Blot (WB). GTX84426
GTX84426 WB Image

WB analysis of various cell lines using GTX84426 Glutamine synthetase antibody [1F4].
Loading : 35 ug per lane

3 / 9
Anti-Glutamine synthetase antibody [1F4] used in Immunocytochemistry/ Immunofluorescence (ICC/IF). GTX84426
GTX84426 ICC/IF Image

ICC/IF analysis of HepG2 cells using GTX84426 Glutamine synthetase antibody [1F4].

4 / 9
Anti-Glutamine synthetase antibody [1F4] used in Flow cytometry (FCM). GTX84426
GTX84426 FCM Image

FACS analysis of HeLa cells using GTX84426 Glutamine synthetase antibody [1F4].
Red : Primary antibody
Blue : Negative control antibody

5 / 9
Anti-Glutamine synthetase antibody [1F4] used in IHC (Paraffin sections) (IHC-P). GTX84426
GTX84426 IHC-P Image

IHC-P analysis of human breast tissue using GTX84426 Glutamine synthetase antibody [1F4].
Antigen retrieval : Heat-induced epitope retrieval by 10mM citrate buffer, pH6.0, 100ºC for 10min.

6 / 9
Anti-Glutamine synthetase antibody [1F4] used in Western Blot (WB). GTX84426
GTX84426 WB Image

WB analysis of HEK293T cells transfected with Glutamine synthetase plasmid (Right) or empty vector (Left) for 48 hrs using GTX84426 Glutamine synthetase antibody [1F4].
Loading : 5 ug per lane

7 / 9
Anti-Glutamine synthetase antibody [1F4] used in Flow cytometry (FCM). GTX84426
GTX84426 FCM Image

FACS analysis of Jurkat cells using GTX84426 Glutamine synthetase antibody [1F4].
Red : Primary antibody
Blue : Negative control antibody

8 / 9
Anti-Glutamine synthetase antibody [1F4] used in IHC (Paraffin sections) (IHC-P). GTX84426
GTX84426 IHC-P Image

IHC-P analysis of human endometrium tissue using GTX84426 Glutamine synthetase antibody [1F4].
Antigen retrieval : Heat-induced epitope retrieval by 10mM citrate buffer, pH6.0, 100ºC for 10min.

9 / 9
Anti-Glutamine synthetase antibody [1F4] used in Immunocytochemistry/ Immunofluorescence (ICC/IF). GTX84426
Anti-Glutamine synthetase antibody [1F4] used in IHC (Paraffin sections) (IHC-P). GTX84426
Anti-Glutamine synthetase antibody [1F4] used in Western Blot (WB). GTX84426
Anti-Glutamine synthetase antibody [1F4] used in Immunocytochemistry/ Immunofluorescence (ICC/IF). GTX84426
Anti-Glutamine synthetase antibody [1F4] used in Flow cytometry (FCM). GTX84426
Anti-Glutamine synthetase antibody [1F4] used in IHC (Paraffin sections) (IHC-P). GTX84426
Anti-Glutamine synthetase antibody [1F4] used in Western Blot (WB). GTX84426
Anti-Glutamine synthetase antibody [1F4] used in Flow cytometry (FCM). GTX84426
Anti-Glutamine synthetase antibody [1F4] used in IHC (Paraffin sections) (IHC-P). GTX84426
  • Host
    Mouse
  • Clonality
    Monoclonal
  • Clone Name
    1F4
  • Isotype
    IgG2a
  • Applications
    WB ICC/IF IHC-P FCM
  • Reactivity
    Human
See all Glutamine synthetase products