Glyoxalase I antibody [GT266]

Cat. No. GTX628889
Cat. No.  GTX628889
Anti-Glyoxalase I antibody [GT266] used in Western Blot (WB). GTX628889
GTX628889 WB Image

Non-transfected (–) and transfected (+) 293T whole cell extracts (30 μg) were separated by 12% SDS-PAGE, and the membrane was blotted with Glyoxalase I antibody [GT266] (GTX628889) diluted at 1:1000. The HRP-conjugated anti-mouse IgG antibody (GTX213111-01) was used to detect the primary antibody.

1 / 4
Anti-Glyoxalase I antibody [GT266] used in Western Blot (WB). GTX628889
GTX628889 WB Image

Glyoxalase I antibody [GT266] detects GLO1 protein by Western blot analysis.
A. 30 μg 293T whole cell lysate/extract
B. 30 μg HeLa whole cell lysate/extract
C. 30 μg HepG2 whole cell lysate/extract
D. 30 μg A375 whole cell lysate/extract
12 % SDS-PAGE
Glyoxalase I antibody [GT266] (GTX628889) dilution: 1:1000

2 / 4
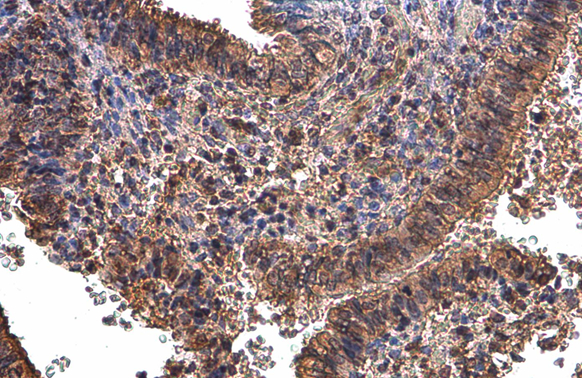
Anti-Glyoxalase I antibody [GT266] used in IHC (Paraffin sections) (IHC-P). GTX628889
GTX628889 IHC-P Image

Glyoxalase I antibody [GT266] detects Glyoxalase I protein at cytoplasm by immunohistochemical analysis.
Sample: Paraffin-embedded human ovarian cancer.
Glyoxalase I stained by Glyoxalase I antibody [GT266] (GTX628889) diluted at 1:200.
Antigen Retrieval: Citrate buffer, pH 6.0, 15 min

3 / 4
Anti-Glyoxalase I antibody [GT266] used in Immunocytochemistry/ Immunofluorescence (ICC/IF). GTX628889
GTX628889 ICC/IF Image

Glyoxalase I antibody [GT266] detects Glyoxalase I protein at cytoplasm by immunofluorescent analysis.
Sample: HeLa cells were fixed in 4% paraformaldehyde at RT for 15 min.
Green: Glyoxalase I stained by Glyoxalase I antibody [GT266] (GTX628889) diluted at 1:100.
Blue: Hoechst 33342 staining.
Scale bar= 10 μm.

4 / 4
Anti-Glyoxalase I antibody [GT266] used in Western Blot (WB). GTX628889
Anti-Glyoxalase I antibody [GT266] used in Western Blot (WB). GTX628889
Anti-Glyoxalase I antibody [GT266] used in IHC (Paraffin sections) (IHC-P). GTX628889
Anti-Glyoxalase I antibody [GT266] used in Immunocytochemistry/ Immunofluorescence (ICC/IF). GTX628889
  • Host
    Mouse
  • Clonality
    Monoclonal
  • Clone Name
    GT266
  • Isotype
    IgG2b
  • Applications
    WB ICC/IF IHC-P
  • Reactivity
    Human
See all Glyoxalase I products