Glyoxalase I antibody [Glo1a]

Cat. No. GTX15747
Cat. No.  GTX15747
Anti-Glyoxalase I antibody [Glo1a] used in Western Blot (WB). GTX15747
GTX15747 WB Image

WB analysis of whole cell extracts (30 μg lysate) of MCF7 (Lane 1), HeLa (Lane 2), MDA-MB-231 (Lane 3), HL-60 (Lane 4), MOLT-4 (Lane 5), LNCaP (Lane 6), T-47D (Lane 7), U-87 MG (Lane 8) and A549 (Lane 9) using GTX15747 Glyoxalase I antibody [Glo1a].
Dilution : 1:1000

1 / 3
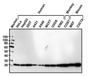
Anti-Glyoxalase I antibody [Glo1a] used in Western Blot (WB). GTX15747
GTX15747 WB Image

WB analysis of 25 ug of various whole cell lysates using GTX15747 Glyoxalase I antibody [Glo1a].
Dilution : 1:1000

2 / 3
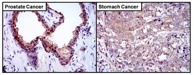
Anti-Glyoxalase I antibody [Glo1a] used in IHC (Paraffin sections) (IHC-P). GTX15747
GTX15747 IHC-P Image

IHC-P analysis of human prostate and stomach carcinoma tissue using GTX15747 Glyoxalase I antibody [Glo1a].
Antigen retrieval : heat induced antigen retrieval was performed using 10mM sodium citrate (pH6.0) buffer for 20 minutes
Dilution : 1:800

3 / 3
Anti-Glyoxalase I antibody [Glo1a] used in Western Blot (WB). GTX15747
Anti-Glyoxalase I antibody [Glo1a] used in Western Blot (WB). GTX15747
Anti-Glyoxalase I antibody [Glo1a] used in IHC (Paraffin sections) (IHC-P). GTX15747
  • Host
    Mouse
  • Clonality
    Monoclonal
  • Clone Name
    Glo1a
  • Isotype
    IgG
  • Applications
    WB ICC/IF IHC-P IHC
  • Reactivity
    Human, Mouse, Rat, Primate
See all Glyoxalase I products