Gm13125 antibody

Cat. No. GTX65598
Cat. No.  GTX65598
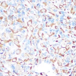
Anti-Gm13125 antibody used in IHC (Paraffin sections) (IHC-P). GTX65598
GTX65598 IHC-P Image

IHC-P analysis of rat ovary tissue using GTX65598 Gm13125 antibody.
Dilution : 1:100

1 / 3
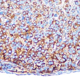
Anti-Gm13125 antibody used in IHC (Paraffin sections) (IHC-P). GTX65598
GTX65598 IHC-P Image

IHC-P analysis of mouse ovary tissue using GTX65598 Gm13125 antibody.
Dilution : 1:100

2 / 3
Anti-Gm13125 antibody used in Western Blot (WB). GTX65598
GTX65598 WB Image

WB analysis of various sample lysates using GTX65598 Gm13125 antibody.
Dilution : 1:1000
Loading : 25μg per lane

3 / 3
Anti-Gm13125 antibody used in IHC (Paraffin sections) (IHC-P). GTX65598
Anti-Gm13125 antibody used in IHC (Paraffin sections) (IHC-P). GTX65598
Anti-Gm13125 antibody used in Western Blot (WB). GTX65598
  • Host
    Rabbit
  • Clonality
    Polyclonal
  • Isotype
    IgG
  • Applications
    WB IHC-P
  • Reactivity
    Mouse, Rat
See all Gm13125 products