GnRHR antibody

Cat. No. GTX35245
Cat. No.  GTX35245
Anti-GnRHR antibody used in Western Blot (WB). GTX35245
GTX35245 WB Image

WB analysis of rat ovary (lanes 1 and 3) and rat pituitary (lanes 2 and 4) lysates using GTX35245 GnRHR antibody preincubated with or without immunogen peptide.
Dilution : 1:200

1 / 2
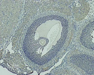
Anti-GnRHR antibody used in IHC (Paraffin sections) (IHC-P). GTX35245
GTX35245 IHC-P Image

IHC-P analysis of rat ovary tissue using GTX35245 GnRHR antibody. GnRHR labeling appears in the stroma surrounding the follicles. The stroma is a richly cellular connective tissue with scattered smooth muscle fibers. The Theca layer is stained as well. Hematoxilin is used as the counterstain.

2 / 2
Anti-GnRHR antibody used in Western Blot (WB). GTX35245
Anti-GnRHR antibody used in IHC (Paraffin sections) (IHC-P). GTX35245
  • Host
    Rabbit
  • Clonality
    Polyclonal
  • Isotype
    IgG
  • Applications
    WB IHC-P
  • Reactivity
    Mouse, Rat
See all GnRHR products