Goat Anti-Mouse IgA (Heavy chain) antibody, pre-adsorbed (HRP)

Cat. No. GTX04200-01
Cat. No.  GTX04200-01
Goat Anti-Mouse IgA (Heavy chain) antibody, pre-adsorbed (HRP). GTX04200-01
GTX04200-01 IHC-P Image

IHC-P analysis of mouse lymph node tissue using GTX04200-01 Goat Anti-Mouse IgA (Heavy chain) antibody, pre-adsorbed (HRP).

1 / 3
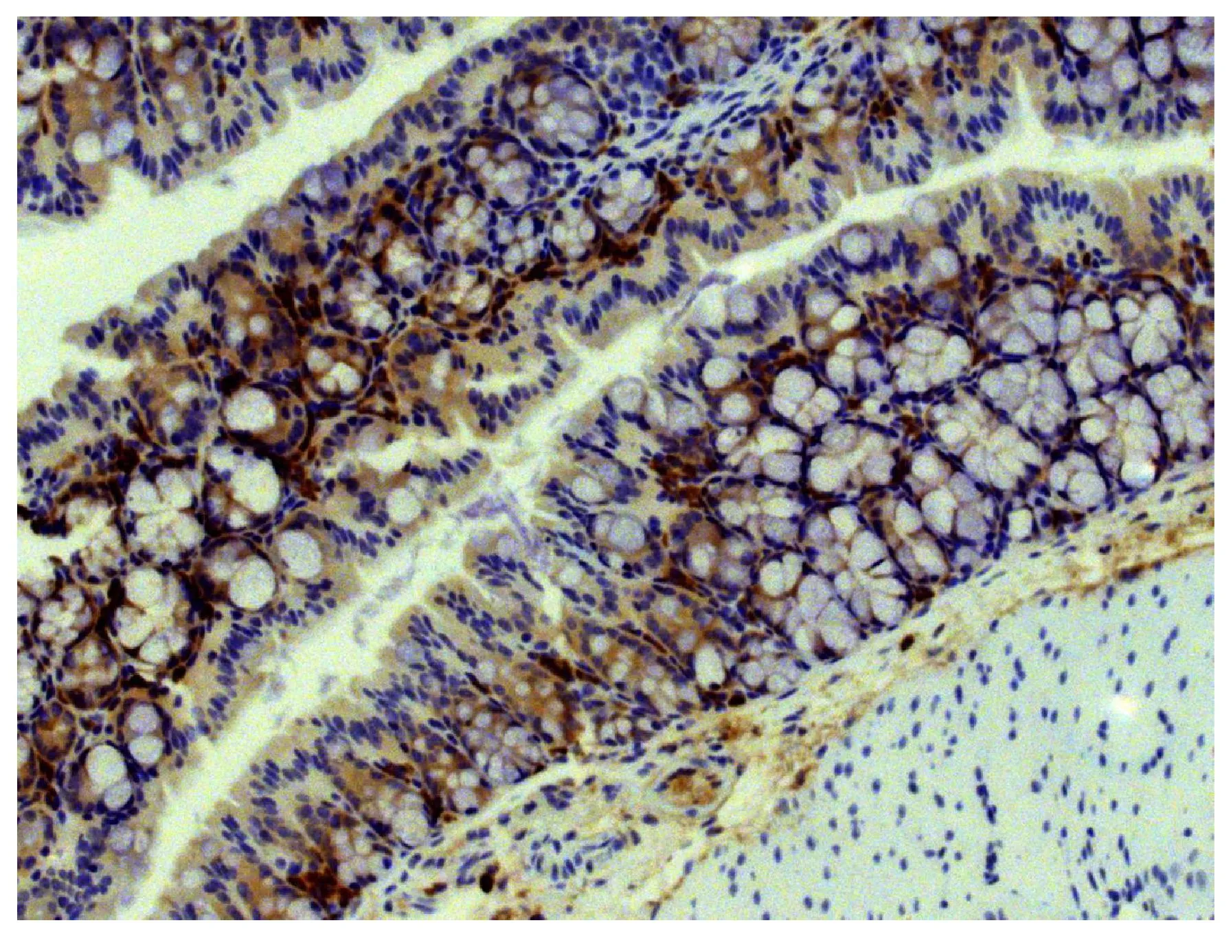
Goat Anti-Mouse IgA (Heavy chain) antibody, pre-adsorbed (HRP). GTX04200-01
GTX04200-01 IHC-P Image

IHC-P analysis of mouse colon tissue using GTX04200-01 Goat Anti-Mouse IgA (Heavy chain) antibody, pre-adsorbed (HRP).

2 / 3
Goat Anti-Mouse IgA (Heavy chain) antibody, pre-adsorbed (HRP). GTX04200-01
GTX04200-01 ELISA Image

ELISA analysis of purified mouse immunoglobulins using serially diluted GTX04200-01 Goat Anti-Mouse IgA (Heavy chain) antibody, pre-adsorbed (HRP).

3 / 3
Goat Anti-Mouse IgA (Heavy chain) antibody, pre-adsorbed (HRP). GTX04200-01
Goat Anti-Mouse IgA (Heavy chain) antibody, pre-adsorbed (HRP). GTX04200-01
Goat Anti-Mouse IgA (Heavy chain) antibody, pre-adsorbed (HRP). GTX04200-01
  • Host
    Goat
  • Clonality
    Polyclonal
  • Isotype
    IgG
  • Applications
    WB ICC/IF IHC-P IHC-Fr FCM ELISA Depletion ELISPOT
  • Reactivity
    Mouse
See all Mouse IgA products