Grp78 antibody [AMC0725]

Cat. No. GTX05189
Cat. No.  GTX05189
Anti-Grp78 antibody [AMC0725] used in Western Blot (WB). GTX05189
GTX05189 WB Image

WB analysis of wild type (WT) and GRP78 knockdown (KD) U-87 MG cell lysates using GTX05189 Grp78 antibody [AMC0725].
Loading : 25μg
Dilution : 1:20000

1 / 9
Anti-Grp78 antibody [AMC0725] used in Western Blot (WB). GTX05189
GTX05189 WB Image

WB analysis of various samples using GTX05189 Grp78 antibody [AMC0725].
Loading : 25μg
Dilution : 1:20000

2 / 9
Anti-Grp78 antibody [AMC0725] used in Immunocytochemistry/ Immunofluorescence (ICC/IF). GTX05189
GTX05189 ICC/IF Image

ICC/IF analysis of NIH/3T3 cells using GTX05189 Grp78 antibody [AMC0725].
Orange : Primary antibody
Blue : DAPI
Dilution : 1:100

3 / 9
Anti-Grp78 antibody [AMC0725] used in IHC (Paraffin sections) (IHC-P). GTX05189
GTX05189 IHC-P Image

IHC-P analysis of mouse testis tissue using GTX05189 Grp78 antibody [AMC0725].
Antigen retrieval : High pressure antigen retrieval performed with 0.01M Tris-EDTA Buffer (pH 9.0)
Dilution : 1:4000

4 / 9
Anti-Grp78 antibody [AMC0725] used in IHC (Paraffin sections) (IHC-P). GTX05189
GTX05189 IHC-P Image

IHC-P analysis of human tonsil tissue using GTX05189 Grp78 antibody [AMC0725].
Antigen retrieval : High pressure antigen retrieval performed with 0.01M Tris-EDTA Buffer (pH 9.0)
Dilution : 1:4000

5 / 9
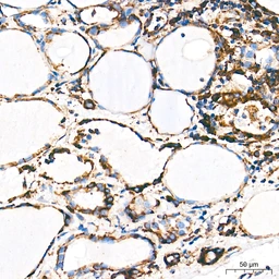
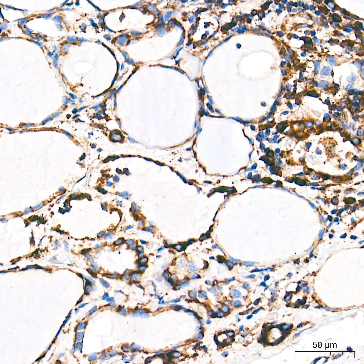
Anti-Grp78 antibody [AMC0725] used in IHC (Paraffin sections) (IHC-P). GTX05189
GTX05189 IHC-P Image

IHC-P analysis of human thyroid tissue using GTX05189 Grp78 antibody [AMC0725].
Antigen retrieval : High pressure antigen retrieval performed with 0.01M Tris-EDTA Buffer (pH 9.0)
Dilution : 1:4000

6 / 9
Anti-Grp78 antibody [AMC0725] used in IHC (Paraffin sections) (IHC-P). GTX05189
GTX05189 IHC-P Image

IHC-P analysis of rat brain tissue using GTX05189 Grp78 antibody [AMC0725].
Antigen retrieval : High pressure antigen retrieval performed with 0.01M Tris-EDTA Buffer (pH 9.0)
Dilution : 1:4000

7 / 9
Anti-Grp78 antibody [AMC0725] used in IHC (Paraffin sections) (IHC-P). GTX05189
GTX05189 IHC-P Image

IHC-P analysis of mouse brain tissue using GTX05189 Grp78 antibody [AMC0725].
Antigen retrieval : High pressure antigen retrieval performed with 0.01M Tris-EDTA Buffer (pH 9.0)
Dilution : 1:4000

8 / 9
Anti-Grp78 antibody [AMC0725] used in Immunocytochemistry/ Immunofluorescence (ICC/IF). GTX05189
GTX05189 ICC/IF Image

ICC/IF analysis of HeLa cells using GTX05189 Grp78 antibody [AMC0725].
Orange : Primary antibody
Blue : DAPI
Dilution : 1:100

9 / 9
Anti-Grp78 antibody [AMC0725] used in Western Blot (WB). GTX05189
Anti-Grp78 antibody [AMC0725] used in Western Blot (WB). GTX05189
Anti-Grp78 antibody [AMC0725] used in Immunocytochemistry/ Immunofluorescence (ICC/IF). GTX05189
Anti-Grp78 antibody [AMC0725] used in IHC (Paraffin sections) (IHC-P). GTX05189
Anti-Grp78 antibody [AMC0725] used in IHC (Paraffin sections) (IHC-P). GTX05189
Anti-Grp78 antibody [AMC0725] used in IHC (Paraffin sections) (IHC-P). GTX05189
Anti-Grp78 antibody [AMC0725] used in IHC (Paraffin sections) (IHC-P). GTX05189
Anti-Grp78 antibody [AMC0725] used in IHC (Paraffin sections) (IHC-P). GTX05189
Anti-Grp78 antibody [AMC0725] used in Immunocytochemistry/ Immunofluorescence (ICC/IF). GTX05189
  • Host
    Mouse
  • Clonality
    Monoclonal
  • Clone Name
    AMC0725
  • Isotype
    IgG1
  • Applications
    WB ICC/IF IHC-P
  • Reactivity
    Human, Mouse, Rat
See all Grp78 products