Grp78 antibody

Cat. No. GTX05188
Cat. No.  GTX05188
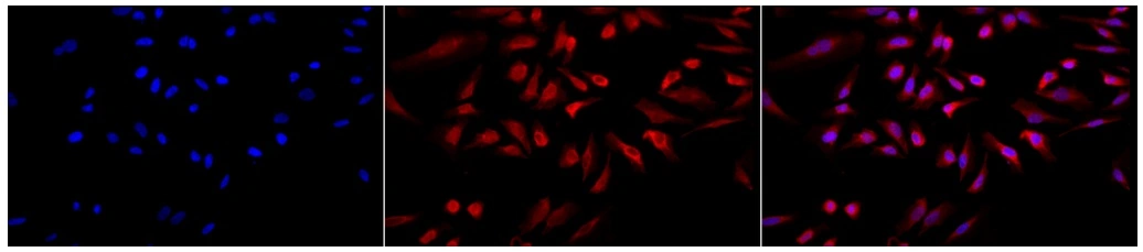
Anti-Grp78 antibody used in Immunocytochemistry/ Immunofluorescence (ICC/IF). GTX05188
GTX05188 ICC/IF Image

ICC/IF analysis of 2% PFA fixed heat-shocked HeLa cells using GTX05188 Grp78 antibody.
Red : Primary antibody
Blue : DAPI
Dilution : 1:100
Magnification : 20x

1 / 5
Anti-Grp78 antibody used in Western Blot (WB). GTX05188
GTX05188 WB Image

WB analysis of various samples using GTX05188 Grp78 antibody.
Dilution : 1:1000

2 / 5
Anti-Grp78 antibody used in Immunocytochemistry/ Immunofluorescence (ICC/IF). GTX05188
GTX05188 ICC/IF Image

ICC/IF analysis of 2% PFA fixed heat-shocked HeLa cells using GTX05188 Grp78 antibody.
Green : Primary antibody
Blue : DAPI
Dilution : 1:100
Magnification : 100x

3 / 5
Anti-Grp78 antibody used in IHC (Paraffin sections) (IHC-P). GTX05188
GTX05188 IHC-P Image

IHC-P analysis of mouse brain tissue using GTX05188 Grp78 antibody.
Red : Primary antibody
Blue : DAPI
Dilution : 1:100

4 / 5
Anti-Grp78 antibody used in Western Blot (WB). GTX05188
GTX05188 WB Image

WB analysis of various samples using GTX05188 Grp78 antibody.
Loading : 15μg
Dilution : 1:1000

5 / 5
Anti-Grp78 antibody used in Immunocytochemistry/ Immunofluorescence (ICC/IF). GTX05188
Anti-Grp78 antibody used in Western Blot (WB). GTX05188
Anti-Grp78 antibody used in Immunocytochemistry/ Immunofluorescence (ICC/IF). GTX05188
Anti-Grp78 antibody used in IHC (Paraffin sections) (IHC-P). GTX05188
Anti-Grp78 antibody used in Western Blot (WB). GTX05188
  • Host
    Rabbit
  • Clonality
    Polyclonal
  • Isotype
    IgG
  • Applications
    WB ICC/IF IHC-P IP
  • Reactivity
    Cryphonectria parasitica, Human, Mouse, Rat, Rabbit, Bovine, Dog, Hamster, Monkey, Fungi, Xenopus
See all Grp78 products