Guanine deaminase antibody

Cat. No. GTX33233
Cat. No.  GTX33233
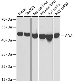
Anti-Guanine deaminase antibody used in Western Blot (WB). GTX33233
GTX33233 WB Image

WB analysis of various sample lysates using GTX33233 Guanine deaminase antibody.
Dilution : 1:1000
Loading : 25μg per lane

1 / 2
Anti-Guanine deaminase antibody used in Immunocytochemistry/ Immunofluorescence (ICC/IF). GTX33233
GTX33233 ICC/IF Image

ICC/IF analysis of A549 cells using GTX33233 Guanine deaminase antibody.
Blue : DAPI

2 / 2
Anti-Guanine deaminase antibody used in Western Blot (WB). GTX33233
Anti-Guanine deaminase antibody used in Immunocytochemistry/ Immunofluorescence (ICC/IF). GTX33233
  • Host
    Rabbit
  • Clonality
    Polyclonal
  • Isotype
    IgG
  • Applications
    WB ICC/IF
  • Reactivity
    Human, Mouse, Rat
See all Guanine deaminase products