H-Ras antibody

Cat. No. GTX55665
Cat. No.  GTX55665
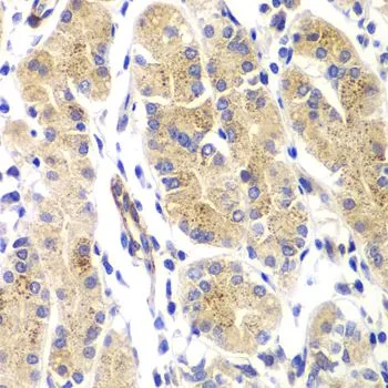
Anti-H-Ras antibody used in IHC (Paraffin sections) (IHC-P). GTX55665
GTX55665 IHC-P Image

IHC-P analysis of human gastric tissue using GTX55665 H-Ras antibody.
Dilution : 1:100

1 / 3
Anti-H-Ras antibody used in IHC (Paraffin sections) (IHC-P). GTX55665
GTX55665 IHC-P Image

IHC-P analysis of human gastric cancer tissue using GTX55665 H-Ras antibody.
Dilution : 1:100

2 / 3
Anti-H-Ras antibody used in Western Blot (WB). GTX55665
GTX55665 WB Image

WB analysis of various sample lysates using GTX55665 H-Ras antibody. The signal was developed with ECL plus-Enhanced.
Dilution : 1:1000
Loading : 25μg per lane

3 / 3
Anti-H-Ras antibody used in IHC (Paraffin sections) (IHC-P). GTX55665
Anti-H-Ras antibody used in IHC (Paraffin sections) (IHC-P). GTX55665
Anti-H-Ras antibody used in Western Blot (WB). GTX55665
  • Host
    Rabbit
  • Clonality
    Polyclonal
  • Isotype
    IgG
  • Applications
    WB IHC-P
  • Reactivity
    Human, Mouse, Rat
See all H-Ras products