H6PD antibody

Cat. No. GTX54162
Cat. No.  GTX54162
Anti-H6PD antibody used in Western Blot (WB). GTX54162
GTX54162 WB Image

WB analysis of various sample lysates using GTX54162 H6PD antibody. The signal was developed with ECL plus-Enhanced.
Dilution : 1:1000
Loading : 25μg per lane

1 / 3
Anti-H6PD antibody used in Immunocytochemistry/ Immunofluorescence (ICC/IF). GTX54162
GTX54162 ICC/IF Image

ICC/IF analysis of U2OS cells using GTX54162 H6PD antibody.
Blue : DAPI

2 / 3
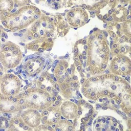
Anti-H6PD antibody used in IHC (Paraffin sections) (IHC-P). GTX54162
GTX54162 IHC-P Image

IHC-P analysis of rat kidney tissue using GTX54162 H6PD antibody.
Dilution : 1:200

3 / 3
Anti-H6PD antibody used in Western Blot (WB). GTX54162
Anti-H6PD antibody used in Immunocytochemistry/ Immunofluorescence (ICC/IF). GTX54162
Anti-H6PD antibody used in IHC (Paraffin sections) (IHC-P). GTX54162
  • Host
    Rabbit
  • Clonality
    Polyclonal
  • Isotype
    IgG
  • Applications
    WB ICC/IF IHC-P
  • Reactivity
    Human, Mouse, Rat
See all H6PD products