HACE1 antibody

Cat. No. GTX65876
Cat. No.  GTX65876
Anti-HACE1 antibody used in Western Blot (WB). GTX65876
GTX65876 WB Image

WB analysis of various sample lysates using GTX65876 HACE1 antibody.
Dilution : 1:1000
Loading : 25μg per lane

1 / 3
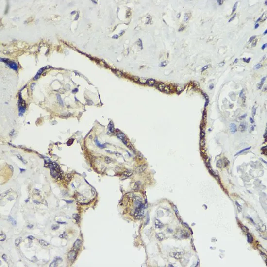
Anti-HACE1 antibody used in IHC (Paraffin sections) (IHC-P). GTX65876
GTX65876 IHC-P Image

IHC-P analysis of human placenta tissue using GTX65876 HACE1 antibody.
Dilution : 1:100

2 / 3
Anti-HACE1 antibody used in IHC (Paraffin sections) (IHC-P). GTX65876
GTX65876 IHC-P Image

IHC-P analysis of rat testis tissue using GTX65876 HACE1 antibody.
Dilution : 1:100

3 / 3
Anti-HACE1 antibody used in Western Blot (WB). GTX65876
Anti-HACE1 antibody used in IHC (Paraffin sections) (IHC-P). GTX65876
Anti-HACE1 antibody used in IHC (Paraffin sections) (IHC-P). GTX65876
  • Host
    Rabbit
  • Clonality
    Polyclonal
  • Isotype
    IgG
  • Applications
    WB IHC-P
  • Reactivity
    Human, Mouse, Rat
See all HACE1 products