HAUS6 antibody

Cat. No. GTX118732
Cat. No.  GTX118732
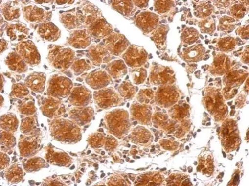
Anti-HAUS6 antibody used in IHC (Paraffin sections) (IHC-P). GTX118732
GTX118732 IHC-P Image

HAUS6 antibody detects HAUS6 protein on human colon carcinoma by immunohistochemical analysis.
Sample: Paraffin-embedded colon carcinoma.
HAUS6 antibody (GTX118732) dilution: 1:500.

Antigen Retrieval: Trilogy™ (EDTA based, pH 8.0) buffer, 15min

1 / 8
Anti-HAUS6 antibody used in Western Blot (WB). GTX118732
GTX118732 WB Image

HAUS6 antibody detects HAUS6 protein by Western blot analysis. Various whole cell extracts (30 μg) were separated by 7.5% SDS-PAGE, and the membrane was blotted with HAUS6 antibody (GTX118732) diluted by 1:1000.

2 / 8
Anti-HAUS6 antibody used in Western Blot (WB). GTX118732
GTX118732 WB Image

IP-WB assay to show that Hice1 (GTX113617) co-immunoprecipitated with other Augmin components HAUS6 (GTX118732), HAUS2 (GTX118734) and HAUS1 (GTX118733) in U2OS cells. The HRP-conjugated anti-rabbit IgG antibody (GTX213110-01) was used to detect the primary antibody.

3 / 8
Anti-HAUS6 antibody used in Western Blot (WB). GTX118732
GTX118732 WB Image

Sample (30 μg of whole cell lysate)
A: JurKat
7.5% SDS PAGE
GTX118732 diluted at 1:1000
The HRP-conjugated anti-rabbit IgG antibody (GTX213110-01) was used to detect the primary antibody.

4 / 8
Anti-HAUS6 antibody used in Immunocytochemistry/ Immunofluorescence (ICC/IF). GTX118732
GTX118732 ICC/IF Image

HAUS6 ( IFA using GTX118732 at 1: 500; red) co-localizes at the mitotic spindle with Hice1-GFP (HAUS-GFP; green) in U2OS cells. DAPI staining (blue) shows mitotic chromosomes. Arrows indicate spindle poles.

5 / 8
Anti-HAUS6 antibody used in Immunocytochemistry/ Immunofluorescence (ICC/IF). GTX118732
GTX118732 ICC/IF Image

The data was published in the journal J Cell Sci in 2018.PMID: 29514856

6 / 8
Anti-HAUS6 antibody used in Western Blot (WB). GTX118732
GTX118732 WB Image

The data was published in the journal J Cell Sci in 2018.PMID: 29514856

7 / 8
Anti-HAUS6 antibody used in Western Blot (WB). GTX118732
GTX118732 WB Image

The data was published in the journal J Cell Sci in 2018.PMID: 29514856

8 / 8
Anti-HAUS6 antibody used in IHC (Paraffin sections) (IHC-P). GTX118732
Anti-HAUS6 antibody used in Western Blot (WB). GTX118732
Anti-HAUS6 antibody used in Western Blot (WB). GTX118732
Anti-HAUS6 antibody used in Western Blot (WB). GTX118732
Anti-HAUS6 antibody used in Immunocytochemistry/ Immunofluorescence (ICC/IF). GTX118732
Anti-HAUS6 antibody used in Immunocytochemistry/ Immunofluorescence (ICC/IF). GTX118732
Anti-HAUS6 antibody used in Western Blot (WB). GTX118732
Anti-HAUS6 antibody used in Western Blot (WB). GTX118732
  • Host
    Rabbit
  • Clonality
    Polyclonal
  • Isotype
    IgG
  • Applications
    WB ICC/IF IHC-P
  • Reactivity
    Human
See all HAUS6 products