HAX1 antibody

Cat. No. GTX101992
Cat. No.  GTX101992
Anti-HAX1 antibody used in Western Blot (WB). GTX101992
GTX101992 WB Image

Various whole cell extracts (30 μg) were separated by 12% SDS-PAGE, and the membrane was blotted with HAX1 antibody (GTX101992) diluted at 1:1000. The HRP-conjugated anti-rabbit IgG antibody (GTX213110-01) was used to detect the primary antibody.

1 / 6
Anti-HAX1 antibody used in Immunocytochemistry/ Immunofluorescence (ICC/IF). GTX101992
GTX101992 ICC/IF Image

HAX1 antibody detects HAX1 protein at cytoplasm by immunofluorescent analysis.
Sample: A431 cells were fixed in ice-cold MeOH for 5 min.
Green: HAX1 stained by HAX1 antibody (GTX101992) diluted at 1:500.

2 / 6
Anti-HAX1 antibody used in Immunocytochemistry/ Immunofluorescence (ICC/IF). GTX101992
GTX101992 ICC/IF Image

Confocal immunofluorescence analysis (Olympus FV10i) of methanol-fixed A431, using HAX1(GTX101992) antibody (Green) at 1:500 dilution. Alpha-tubulin filaments were labeled with GTX11304 (Red) at 1:2000.

3 / 6
Anti-HAX1 antibody used in Immunocytochemistry/ Immunofluorescence (ICC/IF). GTX101992
GTX101992 ICC/IF Image

HAX1 antibody detects HAX1 protein at cell membrane by immunofluorescent analysis.
Sample: HeLa cells were fixed in ice-cold MeOH for 5 min.
Green: HAX1 stained by HAX1 antibody (GTX101992) diluted at 1:500.
Red: alpha Tubulin, a cytoskeleton marker, stained by alpha Tubulin antibody [GT114] (GTX628802) diluted at 1:1000.
Blue: Fluoroshield with DAPI (GTX30920).

4 / 6
Anti-HAX1 antibody used in IHC (Paraffin sections) (IHC-P). GTX101992
GTX101992 IHC-P Image

Immunohistochemical analysis of paraffin-embedded NCIN87 Xenograft , using HAX1(GTX101992) antibody at 1:100 dilution.
Antigen Retrieval: Citrate buffer, pH 6.0, 15 min

5 / 6
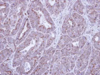
Anti-HAX1 antibody used in IHC (Paraffin sections) (IHC-P). GTX101992
GTX101992 IHC-P Image

HAX1 antibody detects HAX1 protein at cytoplasm in rat ovary by immunohistochemical analysis.
Sample: Paraffin-embedded rat ovary.
HAX1 antibody (GTX101992) diluted at 1:500.

Antigen Retrieval: Citrate buffer, pH 6.0, 15 min

6 / 6
Anti-HAX1 antibody used in Western Blot (WB). GTX101992
Anti-HAX1 antibody used in Immunocytochemistry/ Immunofluorescence (ICC/IF). GTX101992
Anti-HAX1 antibody used in Immunocytochemistry/ Immunofluorescence (ICC/IF). GTX101992
Anti-HAX1 antibody used in Immunocytochemistry/ Immunofluorescence (ICC/IF). GTX101992
Anti-HAX1 antibody used in IHC (Paraffin sections) (IHC-P). GTX101992
Anti-HAX1 antibody used in IHC (Paraffin sections) (IHC-P). GTX101992
  • Host
    Rabbit
  • Clonality
    Polyclonal
  • Isotype
    IgG
  • Applications
    WB ICC/IF IHC-P
  • Reactivity
    Human, Mouse, Rat
See all HAX1 products