HBEGF antibody

Cat. No. GTX05154
Cat. No.  GTX05154
Anti-HBEGF antibody used in Western Blot (WB). GTX05154
GTX05154 WB Image

WB analysis of various samples using GTX05154 HBEGF antibody.
Lane 1 : HeLa whole cell lysate
Lane 2 : K562 whole cell lysate
Lane 3 : Jurkat whole cell lysate
Lane 4 : U251whole cell lysate
Lane 5 : C6 whole cell lysate
Lane 6 : Mouse lung tissue lysate
Loading : 30μg
Dilution : 0.5 μg/mL

1 / 7
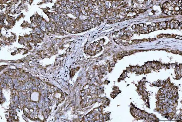
Anti-HBEGF antibody used in IHC (Paraffin sections) (IHC-P). GTX05154
GTX05154 IHC-P Image

IHC-P analysis of human lung adenocarcinoma tissue using GTX05154 HBEGF antibody.
Antigen retrieval : Heated mediated antigen retrieval was performed in EDTA buffer (pH 8.0)
Dilution : 2 μg/ml

2 / 7
Anti-HBEGF antibody used in IHC (Paraffin sections) (IHC-P). GTX05154
GTX05154 IHC-P Image

IHC-P analysis of rat respiratory smooth muscle tissue using GTX05154 HBEGF antibody.
Antigen retrieval : Heated mediated antigen retrieval was performed in EDTA buffer (pH 8.0)
Dilution : 2 μg/ml

3 / 7
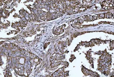
Anti-HBEGF antibody used in IHC (Paraffin sections) (IHC-P). GTX05154
GTX05154 IHC-P Image

IHC-P analysis of human colorectal adenocarcinoma tissue using GTX05154 HBEGF antibody.
Antigen retrieval : Heated mediated antigen retrieval was performed in EDTA buffer (pH 8.0)
Dilution : 5 μg/ml

4 / 7
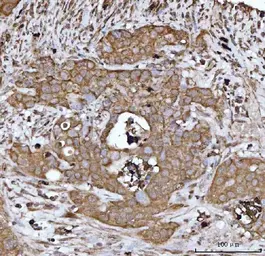
Anti-HBEGF antibody used in IHC (Paraffin sections) (IHC-P). GTX05154
GTX05154 IHC-P Image

IHC-P analysis of human appendiceal adenocarcinoma tissue using GTX05154 HBEGF antibody.
Antigen retrieval : Heated mediated antigen retrieval was performed in EDTA buffer (pH 8.0)
Dilution : 2 μg/ml

5 / 7
Anti-HBEGF antibody used in Flow cytometry (FCM). GTX05154
GTX05154 FCM Image

FCM analysis of 4% PFA-fixed Jurkat cells using GTX05154 HBEGF antibody.
Blue line : Primary antibody
Green line : Isotype control
Red line : Blank control
Dilution: 1 μg/1x10⁶cells

6 / 7
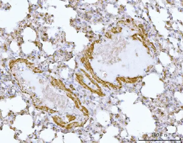
Anti-HBEGF antibody used in IHC (Paraffin sections) (IHC-P). GTX05154
GTX05154 IHC-P Image

IHC-P analysis of mouse lung tissue using GTX05154 HBEGF antibody.
Antigen retrieval : Heated mediated antigen retrieval was performed in EDTA buffer (pH 8.0)
Dilution : 2 μg/ml

7 / 7
Anti-HBEGF antibody used in Western Blot (WB). GTX05154
Anti-HBEGF antibody used in IHC (Paraffin sections) (IHC-P). GTX05154
Anti-HBEGF antibody used in IHC (Paraffin sections) (IHC-P). GTX05154
Anti-HBEGF antibody used in IHC (Paraffin sections) (IHC-P). GTX05154
Anti-HBEGF antibody used in IHC (Paraffin sections) (IHC-P). GTX05154
Anti-HBEGF antibody used in Flow cytometry (FCM). GTX05154
Anti-HBEGF antibody used in IHC (Paraffin sections) (IHC-P). GTX05154
  • Host
    Rabbit
  • Clonality
    Polyclonal
  • Isotype
    IgG
  • Applications
    WB ICC/IF IHC-P FCM
  • Reactivity
    Human, Mouse, Rat
See all HBEGF products