HCLS1 antibody [C3], C-term

Cat. No. GTX100303
Cat. No.  GTX100303
Anti-HCLS1 antibody [C3], C-term used in Western Blot (WB). GTX100303
GTX100303 WB Image

Sample (30 ug of whole cell lysate)
A: NIH-3T3
B: JC
7.5% SDS PAGE
GTX100303 diluted at 1:5000

1 / 3
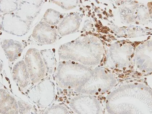
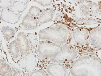
Anti-HCLS1 antibody [C3], C-term used in IHC (Paraffin sections) (IHC-P). GTX100303
GTX100303 IHC-P Image

Immunohistochemical analysis of paraffin-embedded human lymphocytes in gastric epithelium, using HCLS1(GTX100303) antibody at 1:100 dilution.
Antigen Retrieval: Trilogy™ (EDTA based, pH 8.0) buffer, 15min

2 / 3
Anti-HCLS1 antibody [C3], C-term used in Western Blot (WB). GTX100303
GTX100303 WB Image

Sample (30 ug of whole cell lysate)
A: Jurkat
B: HL-60
7.5% SDS PAGE
GTX100303 diluted at 1:10000

3 / 3
Anti-HCLS1 antibody [C3], C-term used in Western Blot (WB). GTX100303
Anti-HCLS1 antibody [C3], C-term used in IHC (Paraffin sections) (IHC-P). GTX100303
Anti-HCLS1 antibody [C3], C-term used in Western Blot (WB). GTX100303
  • Host
    Rabbit
  • Clonality
    Polyclonal
  • Isotype
    IgG
  • Applications
    WB IHC-P
  • Reactivity
    Human, Mouse
See all HCLS1 products