HDAC2 antibody [GT1219]

Cat. No. GTX01527
Cat. No.  GTX01527
Anti-HDAC2 antibody [GT1219] used in Western Blot (WB). GTX01527
GTX01527 WB Image

Various whole cell extracts (30 μg) were separated by 7.5% SDS-PAGE, and the membrane was blotted with HDAC2 antibody [GT1219] (GTX01527) diluted at 1:1000. The HRP-conjugated anti-rabbit IgG antibody (GTX213110-01) was used to detect the primary antibody. Corresponding RNA expression data are based on Human Protein Atlas program.

1 / 8
Anti-HDAC2 antibody [GT1219] used in Western Blot (WB). GTX01527
GTX01527 WB Image

Various whole cell extracts (30 μg) were separated by 10% SDS-PAGE, and the membrane was blotted with HDAC2 antibody [GT1219] (GTX01527) diluted at 1:1000. The HRP-conjugated anti-rabbit IgG antibody (GTX213110-01) was used to detect the primary antibody.

2 / 8
Anti-HDAC2 antibody [GT1219] used in IHC (Paraffin sections) (IHC-P). GTX01527
GTX01527 IHC-P Image

IHC-P analysis of human oophoroma tissue section using GTX01527 HDAC2 antibody [GT1219].
Dilution : 1:100

3 / 8
Anti-HDAC2 antibody [GT1219] used in Immunocytochemistry/ Immunofluorescence (ICC/IF). GTX01527
GTX01527 ICC/IF Image

ICC/IF analysis of C6 cells using GTX01527 HDAC2 antibody [GT1219].
Blue : DAPI

4 / 8
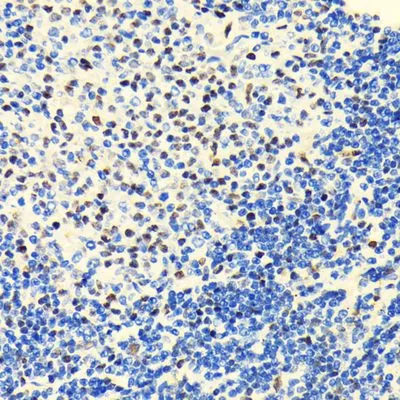
Anti-HDAC2 antibody [GT1219] used in IHC (Paraffin sections) (IHC-P). GTX01527
GTX01527 IHC-P Image

IHC-P analysis of rat spleen tissue section using GTX01527 HDAC2 antibody [GT1219].
Dilution : 1:100

5 / 8
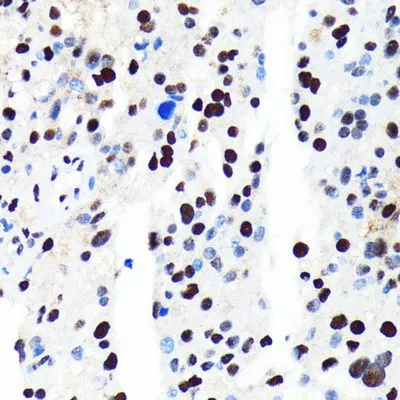
Anti-HDAC2 antibody [GT1219] used in IHC (Paraffin sections) (IHC-P). GTX01527
GTX01527 IHC-P Image

IHC-P analysis of mouse brain tissue section using GTX01527 HDAC2 antibody [GT1219].
Dilution : 1:100

6 / 8
Anti-HDAC2 antibody [GT1219] used in Western Blot (WB). GTX01527
GTX01527 WB Image

WB analysis of various samples using GTX01527 HDAC2 antibody [GT1219].
Dilution : 1:1000
Loading : 25 μg

7 / 8
Anti-HDAC2 antibody [GT1219] used in Immunocytochemistry/ Immunofluorescence (ICC/IF). GTX01527
GTX01527 ICC/IF Image

ICC/IF analysis of NIH-3T3 cells using GTX01527 HDAC2 antibody [GT1219].
Blue : DAPI

8 / 8
Anti-HDAC2 antibody [GT1219] used in Western Blot (WB). GTX01527
Anti-HDAC2 antibody [GT1219] used in Western Blot (WB). GTX01527
Anti-HDAC2 antibody [GT1219] used in IHC (Paraffin sections) (IHC-P). GTX01527
Anti-HDAC2 antibody [GT1219] used in Immunocytochemistry/ Immunofluorescence (ICC/IF). GTX01527
Anti-HDAC2 antibody [GT1219] used in IHC (Paraffin sections) (IHC-P). GTX01527
Anti-HDAC2 antibody [GT1219] used in IHC (Paraffin sections) (IHC-P). GTX01527
Anti-HDAC2 antibody [GT1219] used in Western Blot (WB). GTX01527
Anti-HDAC2 antibody [GT1219] used in Immunocytochemistry/ Immunofluorescence (ICC/IF). GTX01527
  • Host
    Rabbit
  • Clonality
    Monoclonal
  • Clone Name
    GT1219
  • Isotype
    IgG
  • Applications
    WB ICC/IF IHC-P
  • Reactivity
    Human, Mouse, Rat
See all HDAC2 products