HELIOS antibody [HL5252]

Cat. No. GTX645508
Cat. No.  GTX645508
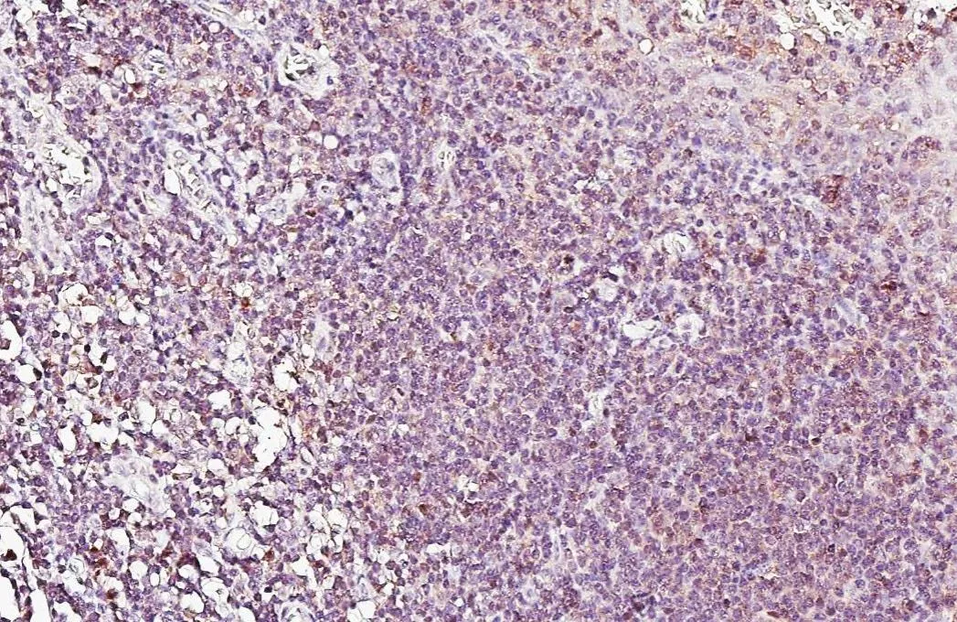
Anti-HELIOS antibody [HL5252] used in IHC (Paraffin sections) (IHC-P). GTX645508
GTX645508 IHC-P Image

HELIOS antibody [HL5252] detects HELIOS protein by immunohistochemical analysis.
Sample: Paraffin-embedded mouse spleen.
HELIOS stained by HELIOS antibody [HL5252] (GTX645508) diluted at 1:125.
Antigen Retrieval: Citrate buffer, pH 6.0, 15 min

1 / 7
Anti-HELIOS antibody [HL5252] used in IHC (Paraffin sections) (IHC-P). GTX645508
GTX645508 IHC-P Image

HELIOS antibody [HL5252] detects HELIOS protein by immunohistochemical analysis.
Sample: Paraffin-embedded rat tissues.
HELIOS stained by HELIOS antibody [HL5252] (GTX645508) diluted at 1:1250.
Antigen Retrieval: Citrate buffer, pH 6.0, 15 min

2 / 7
Anti-HELIOS antibody [HL5252] used in IHC (Paraffin sections) (IHC-P). GTX645508
GTX645508 IHC-P Image

HELIOS antibody [HL5252] detects HELIOS protein by immunohistochemical analysis.
Sample: Paraffin-embedded rat tissues.
HELIOS stained by HELIOS antibody [HL5252] (GTX645508) diluted at 1:1250.
Antigen Retrieval: Citrate buffer, pH 6.0, 15 min

3 / 7
Anti-HELIOS antibody [HL5252] used in IHC (Paraffin sections) (IHC-P). GTX645508
GTX645508 IHC-P Image

HELIOS antibody [HL5252] detects HELIOS protein by immunohistochemical analysis.
Sample: Paraffin-embedded mouse tissues.
HELIOS stained by HELIOS antibody [HL5252] (GTX645508) diluted at 1:1600.
Antigen Retrieval: Citrate buffer, pH 6.0, 15 min

4 / 7
Anti-HELIOS antibody [HL5252] used in IHC (Paraffin sections) (IHC-P). GTX645508
GTX645508 IHC-P Image

HELIOS antibody [HL5252] detects HELIOS protein by immunohistochemical analysis.
Sample: Paraffin-embedded mouse tissues.
HELIOS stained by HELIOS antibody [HL5252] (GTX645508) diluted at 1:1600.
Antigen Retrieval: Citrate buffer, pH 6.0, 15 min

5 / 7
Anti-HELIOS antibody [HL5252] used in Western Blot (WB). GTX645508
GTX645508 WB Image

Various whole cell extracts (30 μg) were separated by 10% SDS-PAGE, and the membrane was blotted with HELIOS antibody [HL5252] (GTX645508) diluted at 1:1000. The HRP-conjugated anti-rabbit IgG antibody (GTX213110-01) was used to detect the primary antibody. Corresponding RNA expression data are based on Human Protein Atlas program.

6 / 7
Anti-HELIOS antibody [HL5252] used in Western Blot (WB). GTX645508
GTX645508 WB Image

Various whole cell extracts (30 μg) were separated by 10% SDS-PAGE, and the membrane was blotted with HELIOS antibody [HL5252] (GTX645508) diluted at 1:1000. The HRP-conjugated anti-rabbit IgG antibody (GTX213110-01) was used to detect the primary antibody.

7 / 7
Anti-HELIOS antibody [HL5252] used in IHC (Paraffin sections) (IHC-P). GTX645508
Anti-HELIOS antibody [HL5252] used in IHC (Paraffin sections) (IHC-P). GTX645508
Anti-HELIOS antibody [HL5252] used in IHC (Paraffin sections) (IHC-P). GTX645508
Anti-HELIOS antibody [HL5252] used in IHC (Paraffin sections) (IHC-P). GTX645508
Anti-HELIOS antibody [HL5252] used in IHC (Paraffin sections) (IHC-P). GTX645508
Anti-HELIOS antibody [HL5252] used in Western Blot (WB). GTX645508
Anti-HELIOS antibody [HL5252] used in Western Blot (WB). GTX645508
  • Host
    Rabbit
  • Clonality
    Monoclonal
  • Clone Name
    HL5252
  • Isotype
    IgG
  • Applications
    WB IHC-P
  • Reactivity
    Human, Mouse, Rat
See all HELIOS products