HERPUD1 antibody

Cat. No. GTX112261
Cat. No.  GTX112261
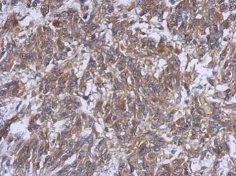
Anti-HERPUD1 antibody used in IHC (Paraffin sections) (IHC-P). GTX112261
GTX112261 IHC-P Image

Immunohistochemical analysis of paraffin-embedded U251 xenograft, using HERPUD1(GTX112261) antibody at 1:500 dilution.
Antigen Retrieval: Trilogy™ (EDTA based, pH 8.0) buffer, 15min

1 / 3
Anti-HERPUD1 antibody used in Western Blot (WB). GTX112261
GTX112261 WB Image

Sample (50 ug of whole cell lysate)
A: mouse brain
10% SDS PAGE
GTX112261 diluted at 1:1000

2 / 3
Anti-HERPUD1 antibody used in Western Blot (WB). GTX112261
GTX112261 WB Image

Sample (30 ug of whole cell lysate)
A: 293T
7.5% SDS PAGE
GTX112261 diluted at 1:5000

3 / 3
Anti-HERPUD1 antibody used in IHC (Paraffin sections) (IHC-P). GTX112261
Anti-HERPUD1 antibody used in Western Blot (WB). GTX112261
Anti-HERPUD1 antibody used in Western Blot (WB). GTX112261
  • Host
    Rabbit
  • Clonality
    Polyclonal
  • Isotype
    IgG
  • Applications
    WB IHC-P
  • Reactivity
    Human, Mouse
See all HERPUD1 products