HIBADH antibody

Cat. No. GTX122994
Cat. No.  GTX122994
Anti-HIBADH antibody used in Western Blot (WB). GTX122994
GTX122994 WB Image

HIBADH antibody detects HIBADH protein by Western blot analysis.
A. 30 μg PC-12 whole cell lysate/extract
10 % SDS-PAGE
HIBADH antibody (GTX122994) dilution: 1:1000

1 / 4
Anti-HIBADH antibody used in Western Blot (WB). GTX122994
GTX122994 WB Image

HIBADH antibody detects HIBADH protein by Western blot analysis.
A. 30 ug Neuro2A whole cell lysate/extract
B. 30 ug C8D30 whole cell lysate/extract
10 % SDS-PAGE
HIBADH antibody (GTX122994) dilution: 1:5000

2 / 4
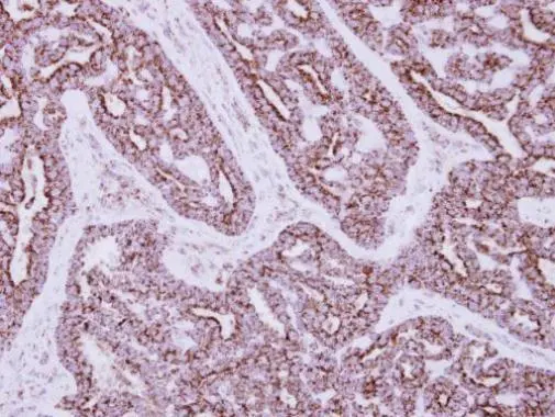
Anti-HIBADH antibody used in IHC (Paraffin sections) (IHC-P). GTX122994
GTX122994 IHC-P Image

Immunohistochemical analysis of paraffin-embedded human breast cancer, using HIBADH(GTX122994) antibody at 1:250 dilution.
Antigen Retrieval: Trilogy™ (EDTA based, pH 8.0) buffer, 15min

3 / 4
Anti-HIBADH antibody used in Western Blot (WB). GTX122994
GTX122994 WB Image

Sample (30 ug of whole cell lysate)
A: A549
10% SDS PAGE
GTX122994 diluted at 1:10000

4 / 4
Anti-HIBADH antibody used in Western Blot (WB). GTX122994
Anti-HIBADH antibody used in Western Blot (WB). GTX122994
Anti-HIBADH antibody used in IHC (Paraffin sections) (IHC-P). GTX122994
Anti-HIBADH antibody used in Western Blot (WB). GTX122994
  • Host
    Rabbit
  • Clonality
    Polyclonal
  • Isotype
    IgG
  • Applications
    WB IHC-P
  • Reactivity
    Human, Mouse, Rat
See all HIBADH products