HIF1 alpha antibody [GT122]

Cat. No. GTX629766
Cat. No.  GTX629766
Anti-HIF1 alpha antibody [GT122] used in Immunocytochemistry/ Immunofluorescence (ICC/IF). GTX629766
GTX629766 ICC/IF Image

HIF1 alpha antibody [GT122] detects HIF1 alpha protein at nucleus by immunofluorescent analysis.
Sample: Mock and treated HeLa cells were fixed in 4% paraformaldehyde at RT for 15 min.
Green: HIF1 alpha stained by HIF1 alpha antibody [GT122] (GTX629766) diluted at 1:500.
Blue: Fluoroshield with DAPI (GTX30920).

1 / 3
Anti-HIF1 alpha antibody [GT122] used in Western Blot (WB). GTX629766
GTX629766 WB Image

Untreated (–) and treated (+) HeLa whole cell extracts (30 μg) were separated by 5% SDS-PAGE, and the membrane was blotted with HIF1 alpha antibody [GT122] (GTX629766) diluted at 1:1000. The HRP-conjugated anti-mouse IgG antibody (GTX213111-01) was used to detect the primary antibody.

2 / 3
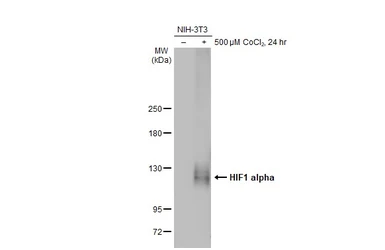
Anti-HIF1 alpha antibody [GT122] used in Western Blot (WB). GTX629766
GTX629766 WB Image

Untreated (–) and treated (+) NIH-3T3 whole cell extracts (30 μg) were separated by 5% SDS-PAGE, and the membrane was blotted with HIF1 alpha antibody [GT122] (GTX629766) diluted at 1:1000. The HRP-conjugated anti-mouse IgG antibody (GTX213111-01) was used to detect the primary antibody, and the signal was developed with Trident ECL plus-Enhanced.

3 / 3
Anti-HIF1 alpha antibody [GT122] used in Immunocytochemistry/ Immunofluorescence (ICC/IF). GTX629766
Anti-HIF1 alpha antibody [GT122] used in Western Blot (WB). GTX629766
Anti-HIF1 alpha antibody [GT122] used in Western Blot (WB). GTX629766
  • Host
    Mouse
  • Clonality
    Monoclonal
  • Clone Name
    GT122
  • Isotype
    IgG1
  • Applications
    WB ICC/IF
  • Reactivity
    Human, Mouse
See all HIF1 alpha products